GRK5 Antikörper
Kurzübersicht für GRK5 Antikörper (ABIN7260899)
Target
Alle GRK5 Antikörper anzeigenReaktivität
Wirt
Klonalität
Konjugat
Applikation
-
-
Produktmerkmale
- Polyclonal Antibody
-
Aufreinigung
- Affinity purification
-
Immunogen
- Recombinant fusion protein of human GRK5 (NP_005299.1).
-
Isotyp
- IgG
-
-
-
-
Applikationshinweise
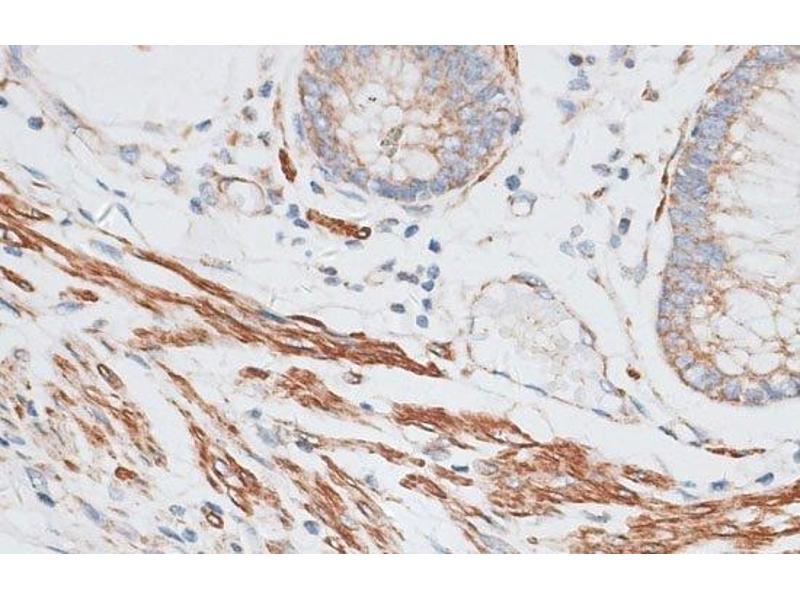
- WB 1:500-1:2000 IHC 1:50-1:200
-
Beschränkungen
- Nur für Forschungszwecke einsetzbar
-
-
-
Format
- Liquid
-
Konzentration
- 1 mg/mL
-
Buffer
- PBS with 0.02 % sodium azide, 50 % glycerol, pH 7.3
-
Konservierungsmittel
- Sodium azide
-
Vorsichtsmaßnahmen
- This product contains Sodium azide: a POISONOUS AND HAZARDOUS SUBSTANCE which should be handled by trained staff only.
-
Lagerung
- -20 °C
-
Informationen zur Lagerung
- Store at -20°C. Avoid freeze / thaw cycles.
-
-
- GRK5 (G Protein-Coupled Receptor Kinase 5 (GRK5))
-
Andere Bezeichnung
- GRK5
-
Hintergrund
- This gene encodes a member of the guanine nucleotide-binding protein (G protein)-coupled receptor kinase subfamily of the Ser/Thr protein kinase family. The protein phosphorylates the activated forms of G protein-coupled receptors thus initiating their deactivation. It has also been shown to play a role in regulating the motility of polymorphonuclear leukocytes (PMNs).
-
Molekulargewicht
-
Observed_MW: 68 kDa
Calculated_MW: 68 kDa
-
Gen-ID
- 2869
-
UniProt
- P34947
-
Pathways
- Myometrial Relaxation and Contraction, Regulation of G-Protein Coupled Receptor Protein Signaling
Target
-