Telefon:
+49 (0)241 95 163 153
Fax:
+49 (0)241 95 163 155
E-Mail:
orders@antikoerper-online.de

CHI3L1 Antikörper

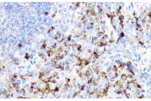
Der Kaninchen Polyklonal anti-CHI3L1 Antikörper wird verwendet zum Nachweis von CHI3L1 in Proben von Human, Maus und Ratte. Er wurde validiert für IHC und IF.
Produktnummer ABIN7259638
580,00 €
Zzgl. Versandkosten 20,00 € und MwSt
Lieferung nach: Deutschland
Lieferung in 9 bis 13 Werktagen

Kurzübersicht für CHI3L1 Antikörper (ABIN7259638)

Target

Alle CHI3L1 Antikörper anzeigen
CHI3L1 (Chitinase 3-Like 1 (Cartilage Glycoprotein-39) (CHI3L1))

Reaktivität

  • 58
  • 29
  • 17
  • 2
  • 1
  • 1
  • 1
  • 1
  • 1
Human, Maus, Ratte

Wirt

  • 53
  • 9
  • 2
  • 1
Kaninchen

Klonalität

  • 52
  • 9
  • 2
Polyklonal

Konjugat

  • 32
  • 3
  • 3
  • 2
  • 2
  • 2
  • 2
  • 2
  • 2
  • 1
  • 1
  • 1
  • 1
  • 1
  • 1
  • 1
  • 1
  • 1
  • 1
  • 1
  • 1
  • 1
Dieser CHI3L1 Antikörper ist unkonjugiert

Applikation

  • 43
  • 16
  • 16
  • 13
  • 13
  • 12
  • 11
  • 10
  • 6
  • 6
  • 4
  • 2
Immunohistochemistry (IHC), Immunofluorescence (IF)
Sie sind hier:
Chat with us!