NPR3 Antikörper
Kurzübersicht für NPR3 Antikörper (ABIN7259472)
Target
Alle NPR3 Antikörper anzeigenReaktivität
Wirt
Klonalität
Konjugat
Applikation
-
-
Produktmerkmale
- Polyclonal Antibody
-
Aufreinigung
- Affinity purification
-
Immunogen
- Recombinant protein of human NPR3.
-
Isotyp
- IgG
-
-
-
-
Applikationshinweise
- WB 1:500-1:2000
-
Beschränkungen
- Nur für Forschungszwecke einsetzbar
-
-
-
Format
- Liquid
-
Konzentration
- 1 mg/mL
-
Buffer
- PBS with 0.02 % sodium azide, 50 % glycerol, pH 7.3
-
Konservierungsmittel
- Sodium azide
-
Vorsichtsmaßnahmen
- This product contains Sodium azide: a POISONOUS AND HAZARDOUS SUBSTANCE which should be handled by trained staff only.
-
Lagerung
- -20 °C
-
Informationen zur Lagerung
- Store at -20°C. Avoid freeze / thaw cycles.
-
-
- NPR3 (Atrial Natriuretic Peptide Receptor 3 (NPR3))
-
Andere Bezeichnung
- NPR3
-
Hintergrund
- This gene encodes one of three natriuretic peptide receptors. Natriutetic peptides are small peptides which regulate blood volume and pressure, pulmonary hypertension, and cardiac function as well as some metabolic and growth processes. The product of this gene encodes a natriuretic peptide receptor responsible for clearing circulating and extracellular natriuretic peptides through endocytosis of the receptor. Multiple transcript variants encoding different isoforms have been found for this gene.
-
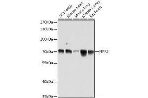
Molekulargewicht
-
Observed_MW: 70 kDa
Calculated_MW: 36 kDa/59 kDa
-
Gen-ID
- 4883
-
UniProt
- P17342
-
Pathways
- cAMP Metabolic Process
Target
-