CCDC11 Antikörper
Kurzübersicht für CCDC11 Antikörper (ABIN7259280)
Target
Alle CCDC11 Antikörper anzeigenReaktivität
Wirt
Klonalität
Konjugat
Applikation
-
-
Produktmerkmale
- Polyclonal Antibody
-
Aufreinigung
- Affinity purification
-
Immunogen
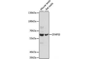
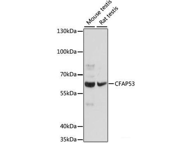
- Recombinant fusion protein of human CFAP53 (NP_659457.2).
-
Isotyp
- IgG
-
-
-
-
Applikationshinweise
- WB 1:500-1:2000
-
Beschränkungen
- Nur für Forschungszwecke einsetzbar
-
-
-
Format
- Liquid
-
Konzentration
- 1 mg/mL
-
Buffer
- PBS with 0.02 % sodium azide, 50 % glycerol, pH 7.3
-
Konservierungsmittel
- Sodium azide
-
Vorsichtsmaßnahmen
- This product contains Sodium azide: a POISONOUS AND HAZARDOUS SUBSTANCE which should be handled by trained staff only.
-
Lagerung
- -20 °C
-
Informationen zur Lagerung
- Store at -20°C. Avoid freeze / thaw cycles.
-
-
- CCDC11 (Coiled-Coil Domain Containing 11 (CCDC11))
-
Andere Bezeichnung
- CFAP53
-
Hintergrund
- This gene belongs to the CFAP53 family. It was found to be differentially expressed by the ciliated cells of frog epidermis and in skin fibroblasts from human. Mutations in this gene are associated with visceral heterotaxy-6, which implicates this gene in determination of left-right asymmetric patterning.
-
Molekulargewicht
-
Observed_MW: 62 kDa
Calculated_MW: 61 kDa
-
Gen-ID
- 220136
-
UniProt
- Q96M91
Target
-