×
Aktivieren Sie Javascript in Ihrem Browser, um unsere Webseite optimal zu nutzen.
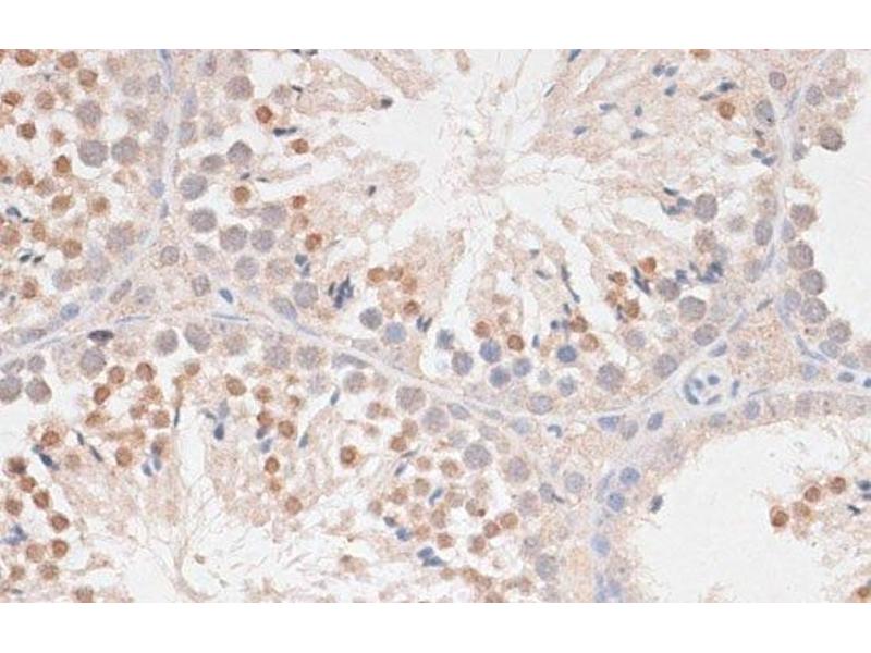
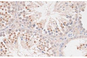
MAD2L1 Antikörper
Dieser Kaninchen Polyklonal Antikörper detektiert spezifisch MAD2L1 in IHC und IF. Es zeigt Reaktivität gegenüber Proben von Human, Maus und Ratte.
Produktnummer ABIN7259110
580,00 €
Zzgl. Versandkosten 20,00 € und MwSt
60 μL ABIN7009370
120 μL ABIN7259109
200 μL ABIN7259110
60 μL ABIN7009370
120 μL ABIN7259109
200 μL ABIN7259110
Lieferung in 9 bis 13 Werktagen
Kurzübersicht für MAD2L1 Antikörper (ABIN7259110)
Target
Alle MAD2L1 Antikörper anzeigen
MAD2L1
(MAD2 Mitotic Arrest Deficient-Like 1 (Yeast) (MAD2L1))
Reaktivität
Alle Reaktivitäten für MAD2L1 Antikörper
Human, Maus, Ratte
Wirt
Alle Wirte für MAD2L1 Antikörper
Kaninchen
Klonalität
Alle Klonalitäten für MAD2L1 Antikörper
Polyklonal
Konjugat
Alle Konjugate für MAD2L1 Antikörper
Dieser MAD2L1 Antikörper ist unkonjugiert
Applikation
Alle Applikationen für MAD2L1 Antikörper
Immunohistochemistry (IHC), Immunofluorescence (IF)
Produktdetails anti-MAD2L1 Antikörper
(ausblenden)
Produktmerkmale
Polyclonal Antibody
Aufreinigung
Affinity purification
Immunogen
Recombinant fusion protein of human MAD2L1 (NP_002349.1).
Isotyp
IgG
Alternativen
(anzeigen)
Anwendungsinformationen
(ausblenden)
Applikationshinweise
IHC 1:50-1:200 IF 1:50-1:200
Beschränkungen
Nur für Forschungszwecke einsetzbar
Handhabung
(ausblenden)
Format
Liquid
Konzentration
1 mg/mL
Buffer
PBS with 0.02 % sodium azide, 50 % glycerol, pH 7.3
Konservierungsmittel
Sodium azide
Vorsichtsmaßnahmen
This product contains Sodium azide: a POISONOUS AND HAZARDOUS SUBSTANCE which should be handled by trained staff only.
Lagerung
-20 °C
Informationen zur Lagerung
Store at -20°C. Avoid freeze / thaw cycles.
Details zu MAD2L1
(ausblenden)
Target
MAD2L1
(MAD2 Mitotic Arrest Deficient-Like 1 (Yeast) (MAD2L1))
Andere Bezeichnung
MAD2L1
Hintergrund
MAD2L1 is a component of the mitotic spindle assembly checkpoint that prevents the onset of anaphase until all chromosomes are properly aligned at the metaphase plate. MAD2L1 is related to the MAD2L2 gene located on chromosome 1. A MAD2 pseudogene has been mapped to chromosome 14.
Gen-ID
4085
UniProt
Q13257
Zuletzt angesehen
(ausblenden)
Chat with us , powered by LiveChat