×
Aktivieren Sie Javascript in Ihrem Browser, um unsere Webseite optimal zu nutzen.
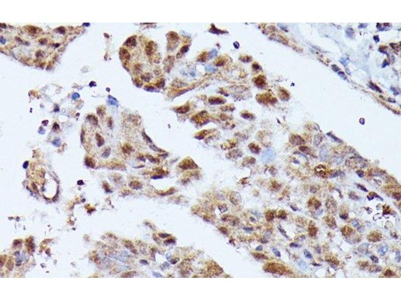
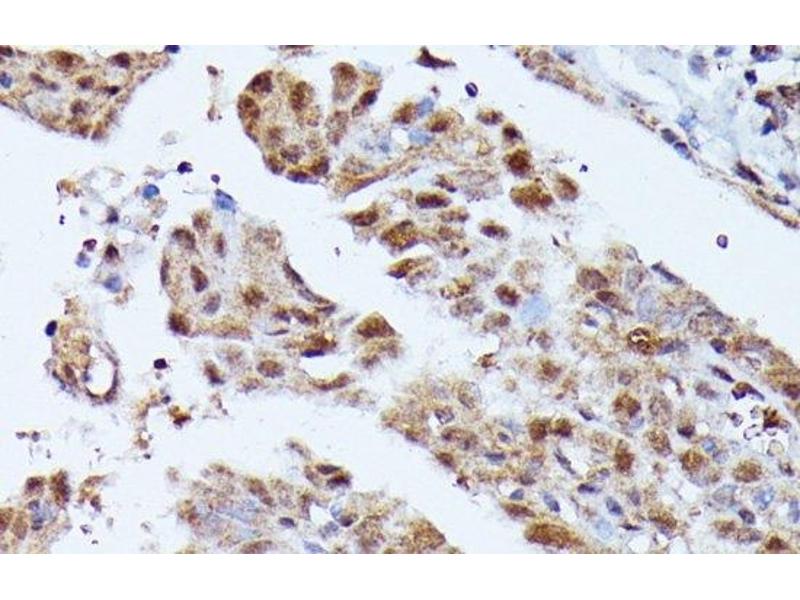
VIRMA/KIAA1429 Antikörper
Dieser Kaninchen Polyklonal Antikörper detektiert spezifisch VIRMA/KIAA1429 in IHC. Es zeigt Reaktivität gegenüber Proben von Human, Maus und Ratte.
Produktnummer ABIN7258994
580,00 €
Zzgl. Versandkosten 20,00 € und MwSt
60 μL ABIN7009310
120 μL ABIN7258993
200 μL ABIN7258994
60 μL ABIN7009310
120 μL ABIN7258993
200 μL ABIN7258994
Lieferung in 9 bis 13 Werktagen
Kurzübersicht für VIRMA/KIAA1429 Antikörper (ABIN7258994)
Target
Alle VIRMA/KIAA1429 (VIRMA) Antikörper anzeigen
VIRMA/KIAA1429 (VIRMA)
(Vir Like m6A Methyltransferase Associated (VIRMA))
Reaktivität
Alle Reaktivitäten für VIRMA/KIAA1429 Antikörper
Human, Maus, Ratte
Wirt
Alle Wirte für VIRMA/KIAA1429 Antikörper
Kaninchen
Klonalität
Alle Klonalitäten für VIRMA/KIAA1429 Antikörper
Polyklonal
Konjugat
Alle Konjugate für VIRMA/KIAA1429 Antikörper
Dieser VIRMA/KIAA1429 Antikörper ist unkonjugiert
Applikation
Alle Applikationen für VIRMA/KIAA1429 Antikörper
Immunohistochemistry (IHC)
Produktdetails anti-VIRMA/KIAA1429 Antikörper
(ausblenden)
Produktmerkmale
Polyclonal Antibody
Aufreinigung
Affinity purification
Immunogen
Recombinant fusion protein of human KIAA1429 (NP_056311.2).
Isotyp
IgG
Alternativen
(anzeigen)
Anwendungsinformationen
(ausblenden)
Applikationshinweise
IHC 1:50-1:100
Beschränkungen
Nur für Forschungszwecke einsetzbar
Handhabung
(ausblenden)
Format
Liquid
Konzentration
1 mg/mL
Buffer
PBS with 0.02 % sodium azide, 50 % glycerol, pH 7.3
Konservierungsmittel
Sodium azide
Vorsichtsmaßnahmen
This product contains Sodium azide: a POISONOUS AND HAZARDOUS SUBSTANCE which should be handled by trained staff only.
Lagerung
-20 °C
Informationen zur Lagerung
Store at -20°C. Avoid freeze / thaw cycles.
Details zu VIRMA/KIAA1429
(ausblenden)
Target
VIRMA/KIAA1429 (VIRMA)
(Vir Like m6A Methyltransferase Associated (VIRMA))
Andere Bezeichnung
KIAA1429
Hintergrund
VIRMA (Vir Like M6A Methyltransferase Associated) is a Protein Coding gene. Diseases associated with VIRMA include Wilms Tumor 1. Among its related pathways are Chromatin Regulation / Acetylation.
Gen-ID
25962
UniProt
Q69YN4
Zuletzt angesehen
(ausblenden)
Sie sind hier:
Startseite
anti-VIRMA/KIAA1429 Antikörper (ABIN7258994)
Chat with us , powered by LiveChat