Telefon:
+49 (0)241 95 163 153
Fax:
+49 (0)241 95 163 155
E-Mail:
orders@antikoerper-online.de

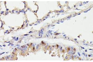
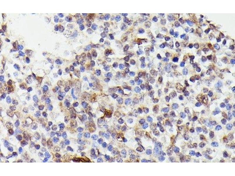
CDC23 Antikörper

Der Kaninchen Polyklonal anti-CDC23 Antikörper (ABIN7258388) detektiert spezifisch CDC23 in IHC. Dieser Antikörper reagiert spezifisch mit Proben aus Human, Maus und Ratte.
Produktnummer ABIN7258388
580,00 €
Zzgl. Versandkosten 20,00 € und MwSt
Lieferung nach: Deutschland
Lieferung in 9 bis 13 Werktagen

Kurzübersicht für CDC23 Antikörper (ABIN7258388)

Target

Alle CDC23 Antikörper anzeigen
CDC23 (Cell Division Cycle 23 (CDC23))

Reaktivität

  • 64
  • 45
  • 31
  • 8
  • 4
  • 4
  • 4
  • 4
  • 4
  • 4
  • 3
  • 2
  • 2
  • 2
Human, Maus, Ratte

Wirt

  • 62
  • 2
Kaninchen

Klonalität

  • 40
  • 24
Polyklonal

Konjugat

  • 37
  • 4
  • 3
  • 3
  • 3
  • 3
  • 3
  • 3
  • 2
  • 1
  • 1
  • 1
Dieser CDC23 Antikörper ist unkonjugiert

Applikation

  • 41
  • 17
  • 17
  • 15
  • 5
  • 5
  • 4
  • 1
  • 1
  • 1
  • 1
  • 1
  • 1
Immunohistochemistry (IHC)
  • Produktmerkmale

    Polyclonal Antibody

    Aufreinigung

    Affinity purification

    Immunogen

    A synthetic peptide of human CDC23 (NP_004652.2).

    Isotyp

    IgG
  • Applikationshinweise

    IHC 1:100-1:200

    Beschränkungen

    Nur für Forschungszwecke einsetzbar
  • Format

    Liquid

    Konzentration

    1 mg/mL

    Buffer

    PBS with 0.02 % sodium azide, 50 % glycerol, pH 7.3

    Konservierungsmittel

    Sodium azide

    Vorsichtsmaßnahmen

    This product contains Sodium azide: a POISONOUS AND HAZARDOUS SUBSTANCE which should be handled by trained staff only.

    Lagerung

    -20 °C

    Informationen zur Lagerung

    Store at -20°C. Avoid freeze / thaw cycles.
  • Target

    CDC23 (Cell Division Cycle 23 (CDC23))

    Andere Bezeichnung

    CDC23

    Hintergrund

    The protein encoded by this gene shares strong similarity with Saccharomyces cerevisiae Cdc23, a protein essential for cell cycle progression through the G2/M transition. This protein is a component of anaphase-promoting complex (APC), which is composed of eight protein subunits and highly conserved in eukaryotic cells. APC catalyzes the formation of cyclin B-ubiquitin conjugate that is responsible for the ubiquitin-mediated proteolysis of B-type cyclins. This protein and 3 other members of the APC complex contain the TPR (tetratricopeptide repeat), a protein domain important for protein-protein interaction.

    Gen-ID

    8697

    UniProt

    Q9UJX2

    Pathways

    Protein targeting to Nucleus
Sie sind hier:
Chat with us!