Telefon:
+49 (0)241 95 163 153
Fax:
+49 (0)241 95 163 155
E-Mail:
orders@antikoerper-online.de

ZNF433 Antikörper

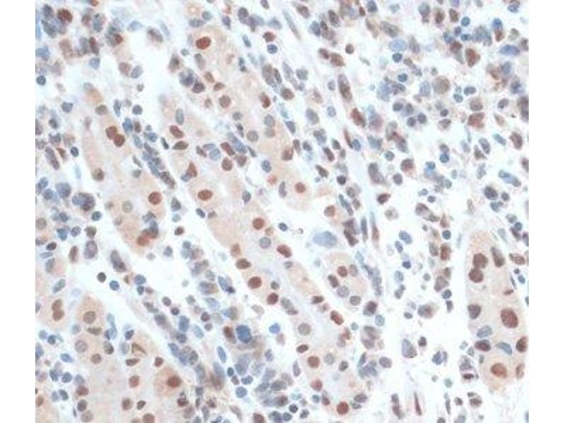
Der Kaninchen Polyklonal anti-ZNF433 Antikörper (ABIN7258240) detektiert spezifisch ZNF433 in IF und IHC. Dieser Antikörper reagiert spezifisch mit Proben aus Human, Maus und Ratte.
Produktnummer ABIN7258240
580,00 €
Zzgl. Versandkosten 20,00 € und MwSt
Lieferung nach: Deutschland
Lieferung in 9 bis 13 Werktagen

Kurzübersicht für ZNF433 Antikörper (ABIN7258240)

Target

Alle ZNF433 Antikörper anzeigen
ZNF433 (Zinc Finger Protein 433 (ZNF433))

Reaktivität

  • 20
  • 2
  • 2
  • 1
  • 1
  • 1
Human, Maus, Ratte

Wirt

  • 18
  • 2
Kaninchen

Klonalität

  • 20
Polyklonal

Konjugat

  • 11
  • 3
  • 2
  • 2
  • 1
  • 1
Dieser ZNF433 Antikörper ist unkonjugiert

Applikation

  • 15
  • 11
  • 9
  • 2
Immunofluorescence (IF), Immunohistochemistry (IHC)
Sie sind hier:
Chat with us!