Telefon:
+49 (0)241 95 163 153
Fax:
+49 (0)241 95 163 155
E-Mail:
orders@antikoerper-online.de

COX15 Antikörper

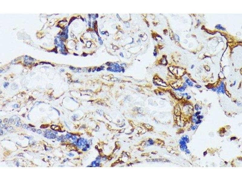
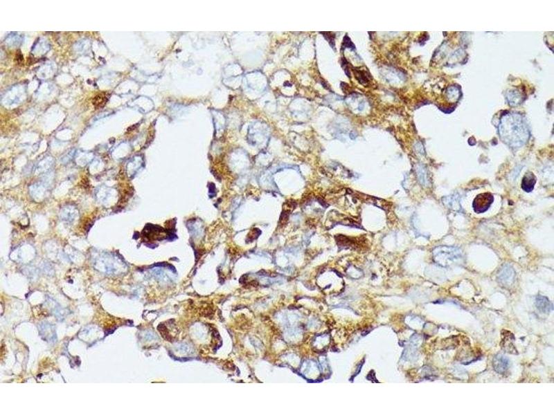
Der Kaninchen Polyklonal anti-COX15 Antikörper (ABIN7258036) detektiert spezifisch COX15 in IHC und IF. Dieser Antikörper reagiert spezifisch mit Proben aus Human, Ratte und Maus.
Produktnummer ABIN7258036
580,00 €
Zzgl. Versandkosten 20,00 € und MwSt
Lieferung nach: Deutschland
Lieferung in 9 bis 13 Werktagen

Kurzübersicht für COX15 Antikörper (ABIN7258036)

Target

Alle COX15 Antikörper anzeigen
COX15 (Cytochrome C Oxidase Assembly Homolog 15 (COX15))

Reaktivität

  • 25
  • 7
  • 6
  • 2
  • 2
  • 2
  • 1
  • 1
  • 1
  • 1
  • 1
Human, Ratte, Maus

Wirt

  • 23
  • 2
Kaninchen

Klonalität

  • 24
  • 1
Polyklonal

Konjugat

  • 15
  • 2
  • 1
  • 1
  • 1
  • 1
  • 1
  • 1
  • 1
  • 1
Dieser COX15 Antikörper ist unkonjugiert

Applikation

  • 12
  • 12
  • 10
  • 4
  • 2
  • 1
Immunohistochemistry (IHC), Immunofluorescence (IF)
  • Produktmerkmale

    Polyclonal Antibody

    Aufreinigung

    Affinity purification

    Immunogen

    A synthetic peptide of human COX15 (NP_510870.1).

    Isotyp

    IgG
  • Applikationshinweise

    IHC 1:50-1:100 IF 1:50-1:100

    Beschränkungen

    Nur für Forschungszwecke einsetzbar
  • Format

    Liquid

    Konzentration

    1 mg/mL

    Buffer

    PBS with 0.02 % sodium azide, 50 % glycerol, pH 7.3

    Konservierungsmittel

    Sodium azide

    Vorsichtsmaßnahmen

    This product contains Sodium azide: a POISONOUS AND HAZARDOUS SUBSTANCE which should be handled by trained staff only.

    Lagerung

    -20 °C

    Informationen zur Lagerung

    Store at -20°C. Avoid freeze / thaw cycles.
  • Target

    COX15 (Cytochrome C Oxidase Assembly Homolog 15 (COX15))

    Andere Bezeichnung

    COX15

    Hintergrund

    Cytochrome c oxidase (COX), the terminal component of the mitochondrial respiratory chain, catalyzes the electron transfer from reduced cytochrome c to oxygen. This component is a heteromeric complex consisting of 3 catalytic subunits encoded by mitochondrial genes and multiple structural subunits encoded by nuclear genes. The mitochondrially-encoded subunits function in electron transfer, and the nuclear-encoded subunits may function in the regulation and assembly of the complex. This nuclear gene encodes a protein which is not a structural subunit, but may be essential for the biogenesis of COX formation and may function in the hydroxylation of heme O, according to the yeast mutant studies. This protein is predicted to contain 5 transmembrane domains localized in the mitochondrial inner membrane. Alternative splicing of this gene generates two transcript variants diverging in the 3' region.

    Gen-ID

    1355

    UniProt

    Q7KZN9
Sie sind hier:
Chat with us!