Telefon:
+49 (0)241 95 163 153
Fax:
+49 (0)241 95 163 155
E-Mail:
orders@antikoerper-online.de

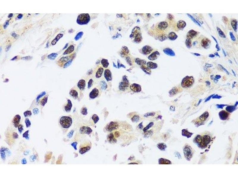
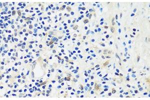
ASCL4 Antikörper

Der Kaninchen Polyklonal anti-ASCL4 Antikörper wird verwendet zum Nachweis von ASCL4 in Proben von Human und Ratte. Er wurde validiert für IHC.
Produktnummer ABIN7257868
580,00 €
Zzgl. Versandkosten 20,00 € und MwSt
Lieferung nach: Deutschland
Lieferung in 9 bis 13 Werktagen

Kurzübersicht für ASCL4 Antikörper (ABIN7257868)

Target

Alle ASCL4 Antikörper anzeigen
ASCL4 (Achaete-Scute Complex Homolog 4 (ASCL4))

Reaktivität

  • 6
  • 1
  • 1
Human, Ratte

Wirt

  • 6
Kaninchen

Klonalität

  • 6
Polyklonal

Konjugat

  • 6
Dieser ASCL4 Antikörper ist unkonjugiert

Applikation

  • 5
  • 2
  • 1
Immunohistochemistry (IHC)
  • Produktmerkmale

    Polyclonal Antibody

    Aufreinigung

    Affinity purification

    Immunogen

    Recombinant fusion protein of human ASCL4 (NP_982260.2).

    Isotyp

    IgG
  • Applikationshinweise

    IHC 1:50-1:100

    Beschränkungen

    Nur für Forschungszwecke einsetzbar
  • Format

    Liquid

    Konzentration

    1 mg/mL

    Buffer

    PBS with 0.02 % sodium azide, 50 % glycerol, pH 7.3

    Konservierungsmittel

    Sodium azide

    Vorsichtsmaßnahmen

    This product contains Sodium azide: a POISONOUS AND HAZARDOUS SUBSTANCE which should be handled by trained staff only.

    Lagerung

    -20 °C

    Informationen zur Lagerung

    Store at -20°C. Avoid freeze / thaw cycles.
  • Target

    ASCL4 (Achaete-Scute Complex Homolog 4 (ASCL4))

    Andere Bezeichnung

    ASCL4

    Hintergrund

    ASCL4 (Achaete-Scute Family BHLH Transcription Factor 4) is a Protein Coding gene. Diseases associated with ASCL4 include Secondary Hypertrophic Osteoarthropathy and Porokeratosis. Gene Ontology (GO) annotations related to this gene include protein dimerization activity. An important paralog of this gene is ASCL5.

    Gen-ID

    121549

    UniProt

    Q6XD76
Sie sind hier:
Chat with us!