Telefon:
+49 (0)241 95 163 153
Fax:
+49 (0)241 95 163 155
E-Mail:
orders@antikoerper-online.de

PELP1 Antikörper

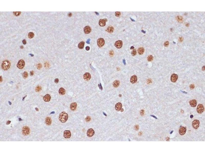
Der Kaninchen Polyklonal anti-PELP1 Antikörper (ABIN7256952) detektiert spezifisch PELP1 in IHC. Dieser Antikörper reagiert spezifisch mit Proben aus Human, Maus und Ratte.
Produktnummer ABIN7256952
449,00 €
Zzgl. Versandkosten 20,00 € und MwSt
Lieferung nach: Deutschland
Lieferung in 9 bis 13 Werktagen

Kurzübersicht für PELP1 Antikörper (ABIN7256952)

Target

Alle PELP1 Antikörper anzeigen
PELP1 (Proline-, Glutamic Acid- and Leucine-Rich Protein 1 (PELP1))

Reaktivität

  • 55
  • 36
  • 12
  • 2
  • 2
  • 1
  • 1
  • 1
  • 1
  • 1
Human, Maus, Ratte

Wirt

  • 55
  • 8
Kaninchen

Klonalität

  • 39
  • 24
Polyklonal

Konjugat

  • 30
  • 5
  • 5
  • 3
  • 3
  • 3
  • 2
  • 2
  • 2
  • 2
  • 2
  • 2
  • 1
  • 1
Dieser PELP1 Antikörper ist unkonjugiert

Applikation

  • 47
  • 30
  • 25
  • 16
  • 14
  • 13
  • 3
  • 3
  • 2
  • 1
  • 1
Immunohistochemistry (IHC)
Sie sind hier:
Chat with us!