Telefon:
+49 (0)241 95 163 153
Fax:
+49 (0)241 95 163 155
E-Mail:
orders@antikoerper-online.de

ACADS Antikörper

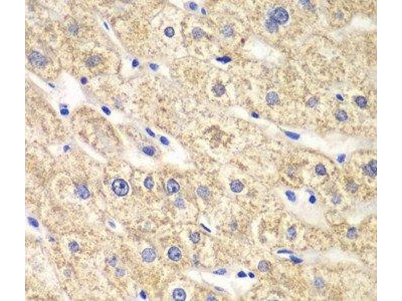
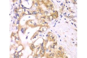
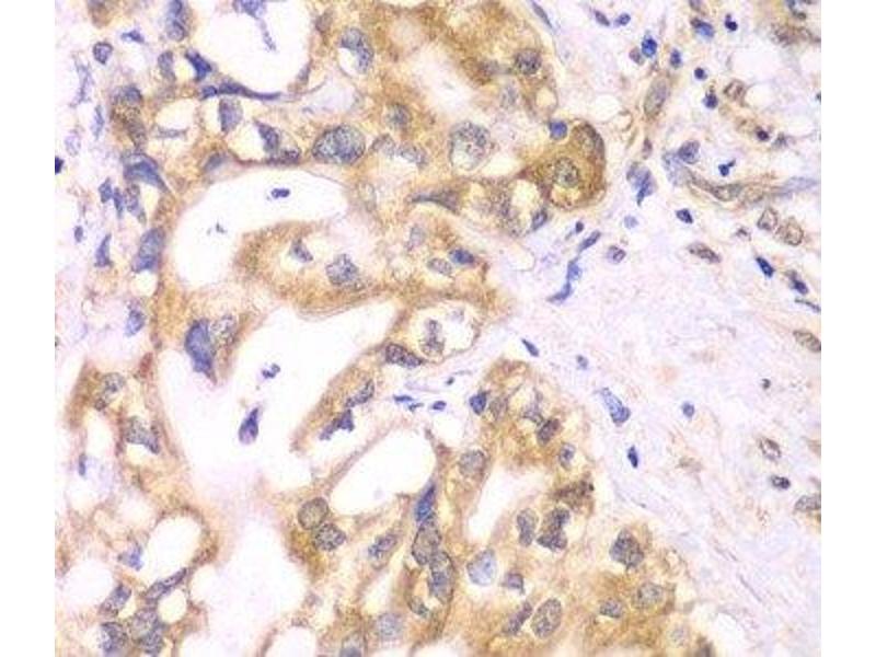
Dieser Kaninchen Polyklonal Antikörper detektiert spezifisch ACADS in IHC und IF. Es zeigt Reaktivität gegenüber Proben von Human, Maus und Ratte.
Produktnummer ABIN7007231
179,00 €
Zzgl. Versandkosten 20,00 € und MwSt
60 μL
Lieferung nach: Deutschland
Lieferung in 9 bis 13 Werktagen

Kurzübersicht für ACADS Antikörper (ABIN7007231)

Target

Alle ACADS (Acads) Antikörper anzeigen
ACADS (Acads) (Acyl-CoA Dehydrogenase, C-2 To C-3 Short Chain (Acads))

Reaktivität

  • 48
  • 28
  • 26
  • 5
  • 4
  • 4
  • 3
  • 3
  • 3
  • 2
  • 2
  • 2
  • 2
  • 1
  • 1
Human, Maus, Ratte

Wirt

  • 45
  • 5
Kaninchen

Klonalität

  • 32
  • 18
Polyklonal

Konjugat

  • 34
  • 2
  • 2
  • 2
  • 2
  • 2
  • 2
  • 2
  • 1
  • 1
Dieser ACADS Antikörper ist unkonjugiert

Applikation

  • 42
  • 26
  • 10
  • 6
  • 6
  • 4
  • 3
  • 1
Immunohistochemistry (IHC), Immunofluorescence (IF)
Sie sind hier:
Chat with us!