×
Aktivieren Sie Javascript in Ihrem Browser, um unsere Webseite optimal zu nutzen.
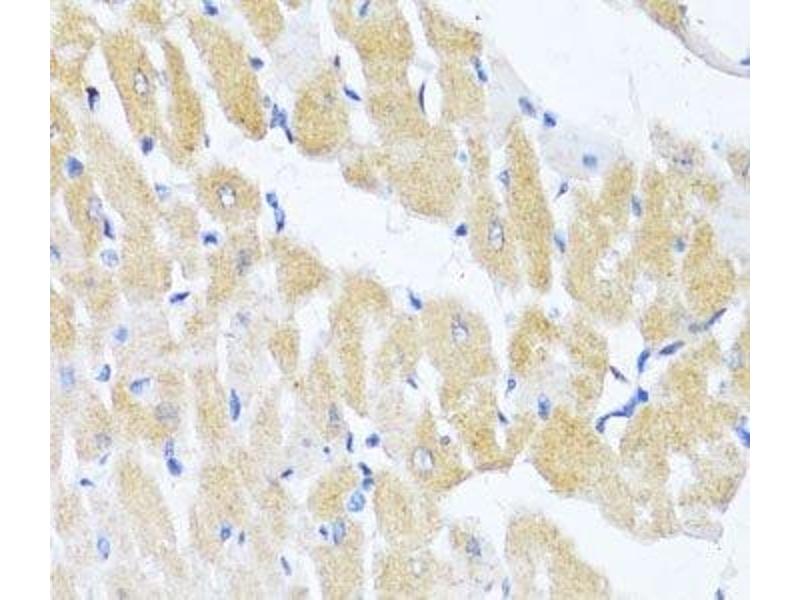
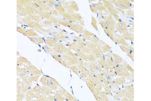
EIF2S1 Antikörper
Dieser Kaninchen Polyklonal Antikörper detektiert spezifisch EIF2S1 in IHC und IF. Es zeigt Reaktivität gegenüber Proben von Human, Maus und Ratte.
Produktnummer ABIN7254993
580,00 €
Zzgl. Versandkosten 20,00 € und MwSt
60 μL ABIN7007207
120 μL ABIN7254992
200 μL ABIN7254993
60 μL ABIN7007207
120 μL ABIN7254992
200 μL ABIN7254993
Lieferung in 9 bis 13 Werktagen
Kurzübersicht für EIF2S1 Antikörper (ABIN7254993)
Target
Alle EIF2S1 Antikörper anzeigen
EIF2S1
(Eukaryotic Translation Initiation Factor 2 Subunit 1 (EIF2S1))
Reaktivität
Alle Reaktivitäten für EIF2S1 Antikörper
Human, Maus, Ratte
Wirt
Alle Wirte für EIF2S1 Antikörper
Kaninchen
Klonalität
Alle Klonalitäten für EIF2S1 Antikörper
Polyklonal
Konjugat
Alle Konjugate für EIF2S1 Antikörper
Dieser EIF2S1 Antikörper ist unkonjugiert
Applikation
Alle Applikationen für EIF2S1 Antikörper
Immunohistochemistry (IHC), Immunofluorescence (IF)
Produktdetails anti-EIF2S1 Antikörper
(ausblenden)
Produktmerkmale
Polyclonal Antibody
Aufreinigung
Affinity purification
Immunogen
Recombinant fusion protein of human EIF2S1 (NP_004085.1).
Isotyp
IgG
Alternativen
(anzeigen)
Anwendungsinformationen
(ausblenden)
Applikationshinweise
IHC 1:50-1:200 IF 1:50-1:200
Beschränkungen
Nur für Forschungszwecke einsetzbar
Handhabung
(ausblenden)
Format
Liquid
Konzentration
1 mg/mL
Buffer
PBS with 0.02 % sodium azide, 50 % glycerol, pH 7.3
Konservierungsmittel
Sodium azide
Vorsichtsmaßnahmen
This product contains Sodium azide: a POISONOUS AND HAZARDOUS SUBSTANCE which should be handled by trained staff only.
Lagerung
-20 °C
Informationen zur Lagerung
Store at -20°C. Avoid freeze / thaw cycles.
Details zu EIF2S1
(ausblenden)
Target
EIF2S1
(Eukaryotic Translation Initiation Factor 2 Subunit 1 (EIF2S1))
Andere Bezeichnung
EIF2S1
Hintergrund
Functions in the early steps of protein synthesis of a small number of specific mRNAs. Acts by directing the binding of methionyl-tRNAi to 40S ribosomal subunits. In contrast to the eIF-2 complex, it binds methionyl-tRNAi to 40 S subunits in a codon-dependent manner, whereas the eIF-2 complex binds methionyl-tRNAi to 40 S subunits in a GTP-dependent manner. May act by impiging the expression of specific proteins.
Gen-ID
1965
UniProt
P05198
Pathways
Ribonucleoprotein Complex Subunit Organization , ER-Nucleus Signaling , Hepatitis C
Zuletzt angesehen
(ausblenden)
Chat with us , powered by LiveChat