×
Aktivieren Sie Javascript in Ihrem Browser, um unsere Webseite optimal zu nutzen.
Phosphotyrosine Antikörper
Der Maus Monoklonal anti-Phosphotyrosine Antikörper wird verwendet zum Nachweis von Phosphotyrosine in Proben von Diverse Spezies. Er wurde validiert für WB und IHC (p).
Produktnummer ABIN7250968
538,80 €
Zzgl. Versandkosten 20,00 € und MwSt
20 μL ABIN7005804
60 μL ABIN7250966
120 μL ABIN7250967
200 μL ABIN7250968
20 μL ABIN7005804
60 μL ABIN7250966
120 μL ABIN7250967
200 μL ABIN7250968
Lieferung in 9 bis 13 Werktagen
Kurzübersicht für Phosphotyrosine Antikörper (ABIN7250968)
Target
Phosphotyrosine
Reaktivität
Alle Reaktivitäten für Phosphotyrosine Antikörper
Diverse Spezies
Wirt
Alle Wirte für Phosphotyrosine Antikörper
Maus
Klonalität
Alle Klonalitäten für Phosphotyrosine Antikörper
Monoklonal
Konjugat
Alle Konjugate für Phosphotyrosine Antikörper
Dieser Phosphotyrosine Antikörper ist unkonjugiert
Applikation
Alle Applikationen für Phosphotyrosine Antikörper
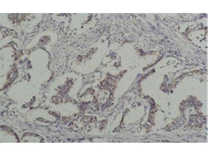
Western Blotting (WB), Immunohistochemistry (Paraffin-embedded Sections) (IHC (p))
Klon
3F6
Produktdetails anti-Phosphotyrosine Antikörper
(ausblenden)
Produktmerkmale
Phosphorylated antibody
Aufreinigung
Protein A purification
Immunogen
Purified Protein
Isotyp
IgG
Alternativen
(anzeigen)
Anwendungsinformationen
(ausblenden)
Applikationshinweise
WB 1:500-1:2000, IHC 1:100-1:300 ELISA 1:40000
Beschränkungen
Nur für Forschungszwecke einsetzbar
Handhabung
(ausblenden)
Format
Liquid
Konzentration
1 mg/mL
Buffer
PBS with 0.02 % sodium azide and 50 % glycerol pH 7.4.
Konservierungsmittel
Sodium azide
Vorsichtsmaßnahmen
This product contains Sodium azide: a POISONOUS AND HAZARDOUS SUBSTANCE which should be handled by trained staff only.
Lagerung
-20 °C
Informationen zur Lagerung
Store at -20°C. Avoid freeze / thaw cycles.
Details zu Phosphotyrosine
(ausblenden)
Target
Phosphotyrosine
Substanzklasse
Amino Acid
Zuletzt angesehen
(ausblenden)
Sie sind hier:
Startseite
anti-Phosphotyrosine Antikörper (ABIN7250968)
Chat with us , powered by LiveChat