Telefon:
+49 (0)241 95 163 153
Fax:
+49 (0)241 95 163 155
E-Mail:
orders@antikoerper-online.de

TUBE1 Antikörper

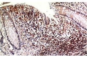
Der Maus Monoklonal anti-TUBE1 Antikörper (Klon 3C1) (ABIN7250614) detektiert spezifisch TUBE1 in IHC (p). Dieser Antikörper reagiert spezifisch mit Proben aus Human, Maus und Ratte.
Produktnummer ABIN7250614
449,00 €
Zzgl. Versandkosten 20,00 € und MwSt
Lieferung nach: Deutschland
Lieferung in 9 bis 13 Werktagen

Kurzübersicht für TUBE1 Antikörper (ABIN7250614)

Target

Alle TUBE1 Antikörper anzeigen
TUBE1 (Tubulin, epsilon 1 (TUBE1))

Reaktivität

  • 22
  • 15
  • 12
  • 4
  • 4
  • 3
  • 3
  • 2
  • 2
  • 2
  • 1
  • 1
  • 1
Human, Maus, Ratte

Wirt

  • 12
  • 12
Maus

Klonalität

  • 12
  • 12
Monoklonal

Konjugat

  • 22
  • 1
  • 1
Dieser TUBE1 Antikörper ist unkonjugiert

Applikation

  • 19
  • 8
  • 5
  • 4
  • 4
  • 3
  • 2
Immunohistochemistry (Paraffin-embedded Sections) (IHC (p))

Klon

3C1
  • Produktmerkmale

    Monoclonal Antibody

    Aufreinigung

    Protein A purification

    Immunogen

    Synthetic Peptide of Epsilon Tubulin

    Isotyp

    IgG
  • Applikationshinweise

    IHC 1:100-200

    Beschränkungen

    Nur für Forschungszwecke einsetzbar
  • Format

    Liquid

    Konzentration

    1 mg/mL

    Buffer

    PBS with 0.02 % sodium azide, 0.5 % BSA and 50 % glycerol, pH 7.4

    Konservierungsmittel

    Sodium azide

    Vorsichtsmaßnahmen

    This product contains Sodium azide: a POISONOUS AND HAZARDOUS SUBSTANCE which should be handled by trained staff only.

    Lagerung

    -20 °C

    Informationen zur Lagerung

    Store at -20°C. Avoid freeze / thaw cycles.
  • Target

    TUBE1 (Tubulin, epsilon 1 (TUBE1))

    Andere Bezeichnung

    epsilon Tubulin

    Hintergrund

    This gene encodes a member of the tubulin superfamily. This protein localizes to the centriolar sub-distal appendages that are associated with the older of the two centrioles after centrosome duplication. This protein plays a central role in organization of the microtubules during centriole duplication. A pseudogene of this gene is found on chromosome 5. TUBE1 (Tubulin Epsilon 1) is a Protein Coding gene. Diseases associated with TUBE1 include Chronic Frontal Sinusitis and Frontal Sinusitis. Among its related pathways are Sertoli-Sertoli Cell Junction Dynamics and Chks in Checkpoint Regulation. GO annotations related to this gene include GTP binding and structural constituent of cytoskeleton. An important paralog of this gene is TUBB4B.

    UniProt

    Q9UJT0

    Pathways

    Microtubule Dynamics
Sie sind hier:
Chat with us!