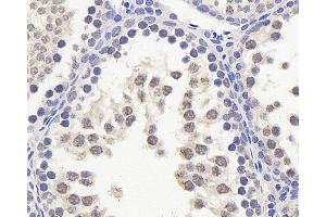
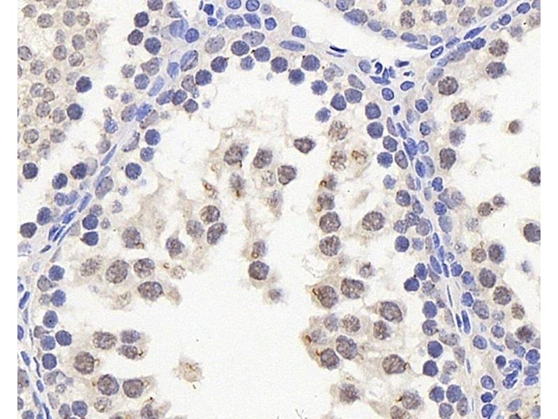
Der Kaninchen Polyklonal anti-HES2 Antikörper (ABIN7249800) detektiert spezifisch HES2 in IHC.
Dieser Antikörper reagiert spezifisch mit Proben aus Ratte.
HES2
Reaktivität: Maus
WB, IF (cc), IF (p)
Wirt: Kaninchen
Polyclonal
AbBy Fluor® 680
Applikationshinweise
IHC 1:100-1:400
Beschränkungen
Nur für Forschungszwecke einsetzbar
Format
Liquid
Konzentration
300 μg/mL
Buffer
PBS with 0.02 % sodium azide, 1 % BSA and 50 % glycerol, pH 7.4
Konservierungsmittel
Sodium azide
Vorsichtsmaßnahmen
This product contains Sodium azide: a POISONOUS AND HAZARDOUS SUBSTANCE which should be handled by trained staff only.
Lagerung
-20 °C
Informationen zur Lagerung
Store at -20°C. Avoid freeze / thaw cycles.
Target
HES2
(Hairy and Enhancer of Split 2 (HES2))
Andere Bezeichnung
HES2
Hintergrund
HES2 (Hes Family BHLH Transcription Factor 2) is a Protein Coding gene. Among its related pathways are PI3K-Akt signaling pathway. Gene Ontology (GO) annotations related to this gene include transcription factor binding and double-stranded DNA binding.