CXCR7 Antikörper
Kurzübersicht für CXCR7 Antikörper (ABIN7249546)
Target
Alle CXCR7 Antikörper anzeigenReaktivität
Wirt
Klonalität
Konjugat
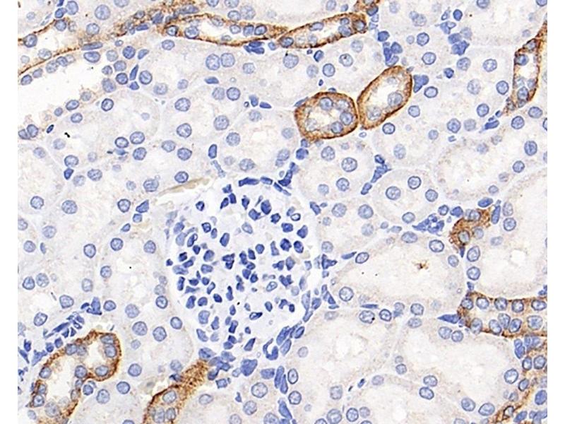
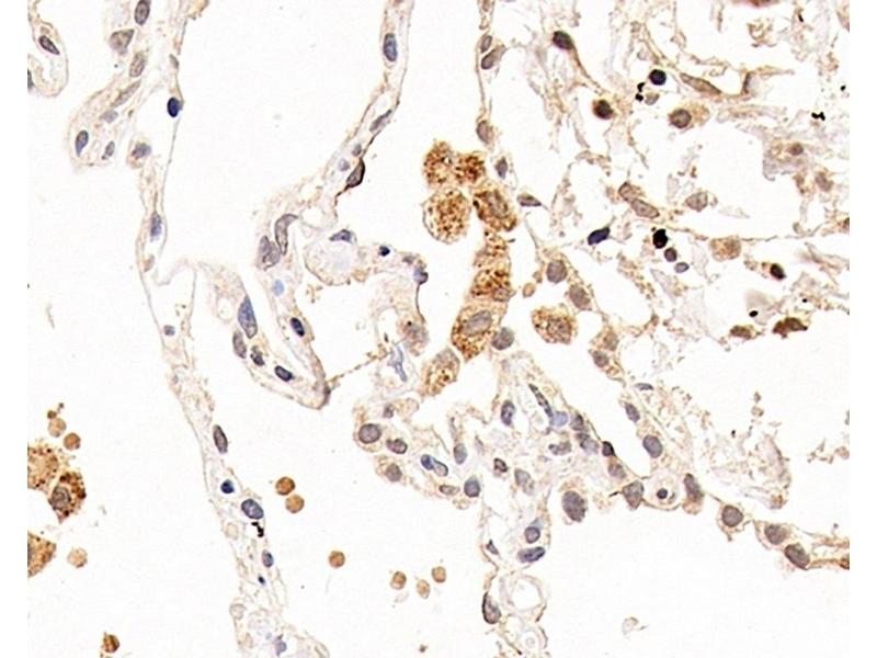
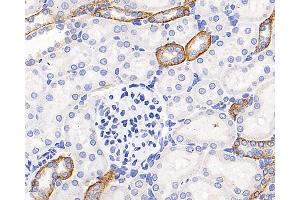
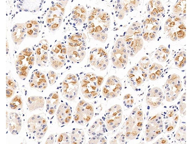
Applikation
-
-
Produktmerkmale
- Polyclonal Antibody
-
Aufreinigung
- Affinity purification
-
Immunogen
- KLH conjugated Synthetic peptide corresponding to Mouse CXCR7
-
Isotyp
- IgG
-
-
-
-
Applikationshinweise
- IHC 1:100-1:200
-
Beschränkungen
- Nur für Forschungszwecke einsetzbar
-
-
-
Format
- Liquid
-
Konzentration
- 130 μg/mL
-
Buffer
- PBS with 0.02 % sodium azide, 1 % BSA and 50 % glycerol, pH 7.4
-
Konservierungsmittel
- Sodium azide
-
Vorsichtsmaßnahmen
- This product contains Sodium azide: a POISONOUS AND HAZARDOUS SUBSTANCE which should be handled by trained staff only.
-
Lagerung
- -20 °C
-
Informationen zur Lagerung
- Store at -20°C. Avoid freeze / thaw cycles.
-
-
- CXCR7 (Chemokine (C-X-C Motif) Receptor 7 (CXCR7))
-
Andere Bezeichnung
- CXCR7
-
Hintergrund
- CXCR7 (C-X-C chemokine receptor type 7),also known as RDC1,is a member of the G-protein coupled receptor family. CXCR7 can bind the chemokines CXCL11 and CXCL12 with high affinity,and it also acts as coreceptor with CXCR4 for a restricted number of HIV isolates. Expression of CXCR7 has been associated with cardiac development as well as with tumor growth and progression.
-
UniProt
- P25106, P56485, O89039
-
Pathways
- Myometrial Relaxation and Contraction, Negative Regulation of intrinsic apoptotic Signaling
Target
-