Telefon:
+49 (0)241 95 163 153
Fax:
+49 (0)241 95 163 155
E-Mail:
orders@antikoerper-online.de

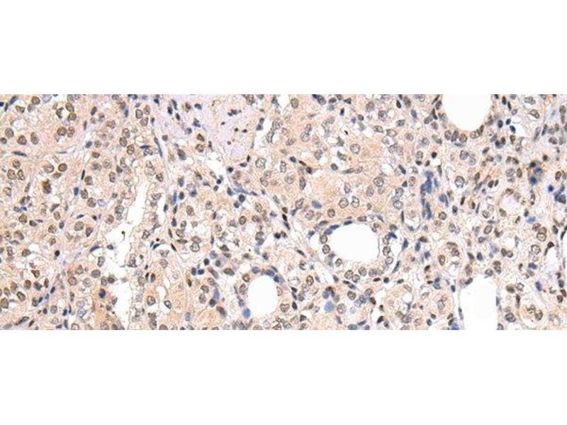
CBX7 Antikörper

Der Kaninchen Polyklonal anti-CBX7 Antikörper wird verwendet zum Nachweis von CBX7 in Proben von Human, Maus und Ratte. Er wurde validiert für WB, ELISA und IHC.
Produktnummer ABIN7249085
449,00 €
Zzgl. Versandkosten 20,00 € und MwSt
Lieferung nach: Deutschland
Lieferung in 9 bis 13 Werktagen

Kurzübersicht für CBX7 Antikörper (ABIN7249085)

Target

Alle CBX7 Antikörper anzeigen
CBX7 (Chromobox Homolog 7 (CBX7))

Reaktivität

  • 44
  • 7
  • 7
  • 3
  • 3
  • 3
  • 2
  • 1
  • 1
  • 1
  • 1
Human, Maus, Ratte

Wirt

  • 39
  • 4
  • 1
Kaninchen

Klonalität

  • 24
  • 20
Polyklonal

Konjugat

  • 21
  • 3
  • 3
  • 3
  • 3
  • 3
  • 3
  • 3
  • 1
  • 1
Dieser CBX7 Antikörper ist unkonjugiert

Applikation

  • 27
  • 11
  • 6
  • 4
  • 3
  • 2
  • 2
  • 1
  • 1
  • 1
Western Blotting (WB), ELISA, Immunohistochemistry (IHC)
  • Produktmerkmale

    Polyclonal Antibody

    Aufreinigung

    Affinity purification

    Immunogen

    Synthetic peptide of human CBX7

    Isotyp

    IgG
  • Applikationshinweise

    WB 1:500-2000, IHC 1:20-100, ELISA 1:2000-5000

    Beschränkungen

    Nur für Forschungszwecke einsetzbar
  • Format

    Liquid

    Konzentration

    0.3 mg/mL

    Buffer

    PBS with 0.05 % sodium azide and 50 % glycerol, PH7.4

    Konservierungsmittel

    Sodium azide

    Vorsichtsmaßnahmen

    This product contains Sodium azide: a POISONOUS AND HAZARDOUS SUBSTANCE which should be handled by trained staff only.

    Lagerung

    -20 °C

    Informationen zur Lagerung

    Store at -20°C. Avoid freeze / thaw cycles.
  • Target

    CBX7 (Chromobox Homolog 7 (CBX7))

    Andere Bezeichnung

    CBX7

    Hintergrund

    CBX7 (Chromobox protein homolog 7) is a 251 amino acid nuclear protein that contains one N-terminal chromo domain and one C-terminal Pc box. Highly expressed in kidney, brain, heart and skeletal muscle, with weaker expression in peripheral blood leukocytes, CBX7 functions as a component of the chromatin-associated polycomb complex (PcG) and is involved in maintaining the transcriptionally repressed state of target genes.

    Molekulargewicht

    28 kDa

    NCBI Accession

    NP_783640

    UniProt

    O95931
Sie sind hier:
Chat with us!