Telefon:
+49 (0)241 95 163 153
Fax:
+49 (0)241 95 163 155
E-Mail:
orders@antikoerper-online.de

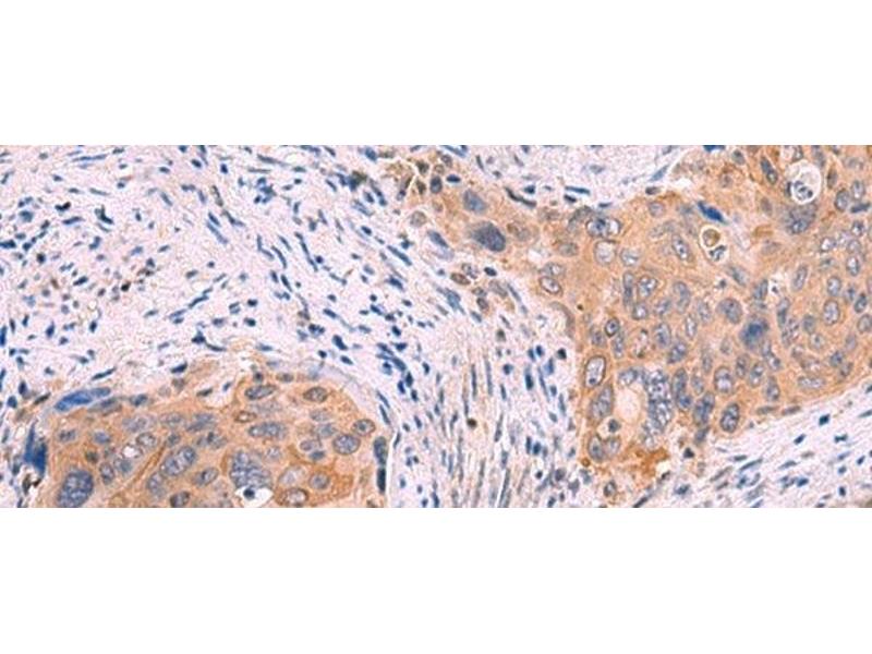
GSPT2 Antikörper

Dieser Kaninchen Polyklonal Antikörper detektiert spezifisch GSPT2 in WB, ELISA und IHC. Es zeigt Reaktivität gegenüber Proben von Human und Maus.
Produktnummer ABIN7247297
449,00 €
Zzgl. Versandkosten 20,00 € und MwSt
Lieferung nach: Deutschland
Lieferung in 9 bis 13 Werktagen

Kurzübersicht für GSPT2 Antikörper (ABIN7247297)

Target

Alle GSPT2 Antikörper anzeigen
GSPT2 (G1 To S Phase Transition 2 (GSPT2))

Reaktivität

  • 24
  • 20
  • 4
  • 2
  • 2
  • 2
  • 1
  • 1
  • 1
  • 1
Human, Maus

Wirt

  • 23
  • 1
Kaninchen

Klonalität

  • 23
  • 1
Polyklonal

Konjugat

  • 12
  • 2
  • 1
  • 1
  • 1
  • 1
  • 1
  • 1
  • 1
  • 1
  • 1
  • 1
Dieser GSPT2 Antikörper ist unkonjugiert

Applikation

  • 17
  • 8
  • 1
  • 1
  • 1
  • 1
Western Blotting (WB), ELISA, Immunohistochemistry (IHC)
  • Produktmerkmale

    Polyclonal Antibody

    Aufreinigung

    Antigen affinity purification

    Immunogen

    Fusion protein of human GSPT2

    Isotyp

    IgG
  • Applikationshinweise

    WB 1:500-1:2000, IHC 1:40-1:200, ELISA 1:5000-1:10000

    Beschränkungen

    Nur für Forschungszwecke einsetzbar
  • Format

    Liquid

    Konzentration

    0.78 mg/mL

    Buffer

    PBS with 0.05 % Sodium azide and 40 % Glycerol, pH 7.4

    Konservierungsmittel

    Sodium azide

    Vorsichtsmaßnahmen

    This product contains Sodium azide: a POISONOUS AND HAZARDOUS SUBSTANCE which should be handled by trained staff only.

    Lagerung

    -20 °C

    Informationen zur Lagerung

    Store at -20°C. Avoid freeze / thaw cycles.
  • Target

    GSPT2 (G1 To S Phase Transition 2 (GSPT2))

    Andere Bezeichnung

    GSPT2

    Hintergrund

    This gene encodes a GTPase that belongs to the GTP-binding elongation factor family. The encoded protein is a polypeptide release factor that complexes with eukaryotic peptide chain release factor 1 to mediate translation termination. This protein may also be involved in mRNA stability.

    Molekulargewicht

    Observed_MW: Refer to figures

    Calculated_MW: 69 kDa

    UniProt

    Q8IYD1
Sie sind hier:
Chat with us!