Telefon:
+49 (0)241 95 163 153
Fax:
+49 (0)241 95 163 155
E-Mail:
orders@antikoerper-online.de

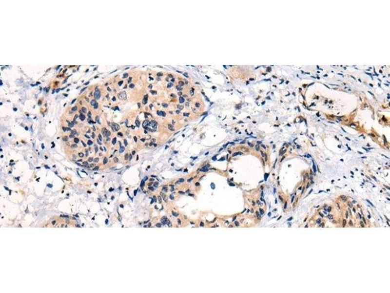
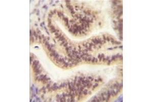
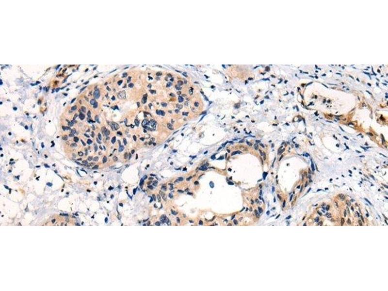
C16orf45 Antikörper

Dieser Kaninchen Polyklonal Antikörper detektiert spezifisch C16orf45 in IHC und ELISA. Es zeigt Reaktivität gegenüber Proben von Human, Maus und Ratte.
Produktnummer ABIN7244585
449,00 €
Zzgl. Versandkosten 20,00 € und MwSt
Lieferung nach: Deutschland
Lieferung in 9 bis 13 Werktagen

Kurzübersicht für C16orf45 Antikörper (ABIN7244585)

Target

C16orf45 (Chromosome 16 Open Reading Frame 45 (C16orf45))

Reaktivität

Human, Maus, Ratte

Wirt

  • 16
Kaninchen

Klonalität

  • 16
Polyklonal

Konjugat

  • 4
  • 2
  • 1
  • 1
  • 1
  • 1
  • 1
  • 1
  • 1
  • 1
  • 1
  • 1
Dieser C16orf45 Antikörper ist unkonjugiert

Applikation

  • 9
  • 7
  • 6
  • 2
  • 1
Immunohistochemistry (IHC), ELISA
  • Produktmerkmale

    Polyclonal Antibody

    Aufreinigung

    Antigen affinity purification

    Immunogen

    Synthetic peptide of human C16orf45

    Isotyp

    IgG
  • Applikationshinweise

    IHC 1:30-1:150, ELISA 1:5000-1:10000

    Beschränkungen

    Nur für Forschungszwecke einsetzbar
  • Format

    Liquid

    Konzentration

    0.7 mg/mL

    Buffer

    PBS with 0.05 % Sodium azide and 40 % Glycerol, pH 7.4

    Konservierungsmittel

    Sodium azide

    Vorsichtsmaßnahmen

    This product contains Sodium azide: a POISONOUS AND HAZARDOUS SUBSTANCE which should be handled by trained staff only.

    Lagerung

    -20 °C

    Informationen zur Lagerung

    Store at -20°C. Avoid freeze / thaw cycles.
  • Target

    C16orf45 (Chromosome 16 Open Reading Frame 45 (C16orf45))

    Andere Bezeichnung

    C16orf45

    Hintergrund

    C16orf45, also known as FLJ32618, is a 204 amino acid protein encoded by a gene mapping to human chromosome 16. Chromosome 16 encodes over 900 genes in approximately 90 million base pairs, makes up nearly 3 % of human cellular DNA and is associated with a variety of genetic disorders. The GAN gene is located on chromosome 16 and, with mutation, may lead to giant axonal neuropathy, a nervous system disorder characterized by increasing malfunction with growth. The rare disorder Rubinstein-Taybi syndrome is also associated with chromosome 16, though through the CREBBP gene which encodes a critical CREB binding protein. Signs of Rubinstein-Taybi include mental retardation and predisposition to tumor growth and white blood cell neoplasias. Crohn's disease is a gastrointestinal inflammatory condition associated with chromosome 16 through the NOD2 gene. An association with systemic lupus erythematosis and a number of other autoimmune disorders with the pericentromeric region of chromosome 16 has led to the identification of SLC5A11 as a potential autoimmune modifier.

    UniProt

    Q96MC5
Sie sind hier:
Chat with us!