Telefon:
+49 (0)241 95 163 153
Fax:
+49 (0)241 95 163 155
E-Mail:
orders@antikoerper-online.de

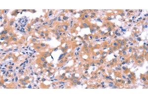
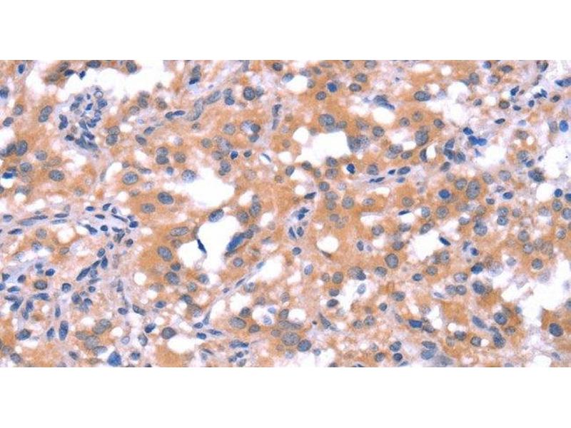
FAT1 Antikörper

Der Kaninchen Polyklonal anti-FAT1 Antikörper wird verwendet zum Nachweis von FAT1 in Proben von Human. Er wurde validiert für ELISA und IHC.
Produktnummer ABIN7238957
449,00 €
Zzgl. Versandkosten 20,00 € und MwSt
Lieferung nach: Deutschland
Lieferung in 9 bis 13 Werktagen

Kurzübersicht für FAT1 Antikörper (ABIN7238957)

Target

Alle FAT1 Antikörper anzeigen
FAT1 (FAT Tumor Suppressor Homolog 1 (FAT1))

Reaktivität

  • 17
  • 3
  • 1
  • 1
Human

Wirt

  • 14
  • 6
Kaninchen

Klonalität

  • 14
  • 6
Polyklonal

Konjugat

  • 13
  • 1
  • 1
  • 1
  • 1
  • 1
  • 1
  • 1
Dieser FAT1 Antikörper ist unkonjugiert

Applikation

  • 9
  • 2
  • 2
  • 1
  • 1
  • 1
  • 1
  • 1
ELISA, Immunohistochemistry (IHC)
  • Produktmerkmale

    Polyclonal Antibody

    Aufreinigung

    Affinity purification

    Immunogen

    Synthetic peptide of human FAT1

    Isotyp

    IgG
  • Applikationshinweise

    IHC 1:50-1:200

    Beschränkungen

    Nur für Forschungszwecke einsetzbar
  • Format

    Liquid

    Konzentration

    0.4 mg/mL

    Buffer

    PBS with 0.05 % sodium azide and 50 % glycerol, PH7.4

    Konservierungsmittel

    Sodium azide

    Vorsichtsmaßnahmen

    This product contains Sodium azide: a POISONOUS AND HAZARDOUS SUBSTANCE which should be handled by trained staff only.

    Lagerung

    -20 °C

    Informationen zur Lagerung

    Store at -20°C. Avoid freeze / thaw cycles.
  • Target

    FAT1 (FAT Tumor Suppressor Homolog 1 (FAT1))

    Andere Bezeichnung

    FAT1

    Hintergrund

    This gene is an ortholog of the Drosophila fat gene, which encodes a tumor suppressor essential for controlling cell proliferation during Drosophila development. The gene product is a member of the cadherin superfamily, a group of integral membrane proteins characterized by the presence of cadherin-type repeats. In addition to containing 34 tandem cadherin-type repeats, the gene product has five epidermal growth factor (EGF)-like repeats and one laminin A-G domain. This gene is expressed at high levels in a number of fetal epithelia. Its product probably functions as an adhesion molecule and/or signaling receptor, and is likely to be important in developmental processes and cell communication. Transcript variants derived from alternative splicing and/or alternative promoter usage exist, but they have not been fully described.

    NCBI Accession

    NP_005236

    UniProt

    Q14517
Sie sind hier:
Chat with us!