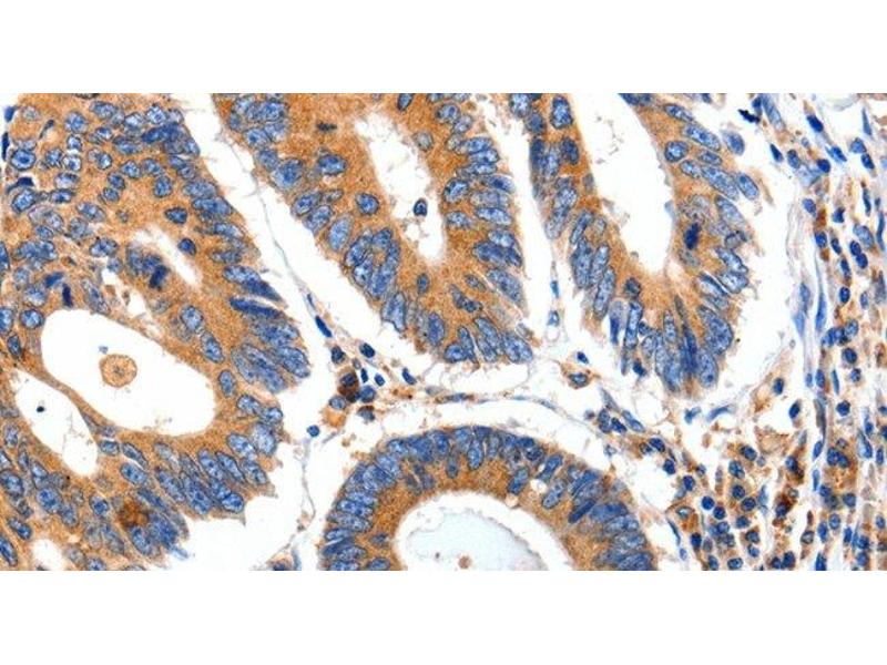
Der Kaninchen Polyklonal anti-IGFBP7 Antikörper (ABIN7238147) detektiert spezifisch IGFBP7 in ELISA und IHC.
Dieser Antikörper reagiert spezifisch mit Proben aus Human und Maus.
PBS with 0.05 % sodium azide and 50 % glycerol, PH7.4
Konservierungsmittel
Sodium azide
Vorsichtsmaßnahmen
This product contains Sodium azide: a POISONOUS AND HAZARDOUS SUBSTANCE which should be handled by trained staff only.
Lagerung
-20 °C
Informationen zur Lagerung
Store at -20°C. Avoid freeze / thaw cycles.
Target
IGFBP7
(Insulin-Like Growth Factor Binding Protein 7 (IGFBP7))
Andere Bezeichnung
IGFBP7
Hintergrund
This gene encodes a member of the insulin-like growth factor (IGF)-binding protein (IGFBP) family. IGFBPs bind IGFs with high affinity, and regulate IGF availability in body fluids and tissues and modulate IGF binding to its receptors. This protein binds IGF-I and IGF-II with relatively low affinity, and belongs to a subfamily of low-affinity IGFBPs. It also stimulates prostacyclin production and cell adhesion. Alternatively spliced transcript variants encoding different isoforms have been described for this gene, and one variant has been associated with retinal arterial macroaneurysm.