Telefon:
+49 (0)241 95 163 153
Fax:
+49 (0)241 95 163 155
E-Mail:
orders@antikoerper-online.de

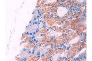
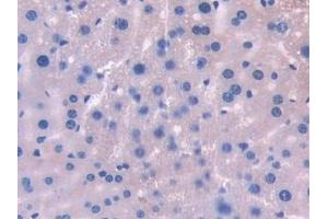
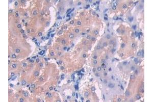
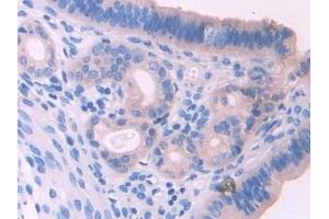
UMODL1 Antikörper (AA 34-306)

Der Kaninchen Polyklonal anti-UMODL1 Antikörper (ABIN7443635) detektiert spezifisch UMODL1 in WB, IHC, IP und ICC. Dieser Antikörper reagiert spezifisch mit Proben aus Maus.
Produktnummer ABIN7443635
409,37 €
Zzgl. Versandkosten 20,00 € und MwSt
Lieferung nach: Deutschland
Lieferung in 11 bis 15 Werktagen

Kurzübersicht für UMODL1 Antikörper (AA 34-306) (ABIN7443635)

Target

UMODL1 (Uromodulin-Like 1 (UMODL1))

Reaktivität

  • 6
  • 2
  • 2
  • 1
  • 1
  • 1
  • 1
  • 1
Maus

Wirt

  • 6
Kaninchen

Klonalität

  • 6
Polyklonal

Konjugat

  • 3
  • 1
  • 1
  • 1
Dieser UMODL1 Antikörper ist unkonjugiert

Applikation

Western Blotting (WB), Immunohistochemistry (IHC), Immunoprecipitation (IP), Immunocytochemistry (ICC)
  • Bindungsspezifität

    • 4
    • 1
    • 1
    AA 34-306

    Verwendungszweck

    Polyclonal Antibody to Uromodulin Like Protein 1 (UMODL1)

    Spezifität

    The antibody is a rabbit polyclonal antibody raised against UMODL1. It has been selected for its ability to recognize UMODL1 in immunohistochemical staining and western blotting.

    Aufreinigung

    Antigen-specific affinity chromatography followed by Protein A affinity chromatography

    Immunogen

    Recombinant Uromodulin Like Protein 1 (UMODL1) corresdonding to Ser34~Pro306 with N-terminal His and GST Tag

    Isotyp

    IgG
  • Applikationshinweise

    Western blotting: 0.5-2 μg/mL,Immunohistochemistry: 5-20 μg/mL,Immunocytochemistry: 5-20 μg/mL,Optimal working dilutions must be determined by end user.

    Kommentare

    The thermal stability is described by the loss rate. The loss rate was determined by accelerated thermal degradation test, that is, incubate the protein at 37°C for 48h, and no obvious degradation and precipitation were observed. The loss rate is less than 5% within the expiration date under appropriate storage condition.

    Beschränkungen

    Nur für Forschungszwecke einsetzbar
  • Format

    Liquid

    Konzentration

    500 μg/mL

    Buffer

    PBS, pH 7.4, containing 0.02 % Sodium azide, 50 % glycerol.

    Konservierungsmittel

    Sodium azide

    Vorsichtsmaßnahmen

    This product contains Sodium azide: a POISONOUS AND HAZARDOUS SUBSTANCE which should be handled by trained staff only.

    Lagerung

    4 °C,-20 °C

    Informationen zur Lagerung

    Store at 4°C for frequent use. Stored at -20°C in a manual defrost freezer for two year without detectable loss of activity. Avoid repeated freeze-thaw cycles.

    Haltbarkeit

    24 months
  • Target

    UMODL1 (Uromodulin-Like 1 (UMODL1))

    Andere Bezeichnung

    UMODL1

    Hintergrund

    UMODL1, Olfactorin

    UniProt

    Q5DID3
Sie sind hier:
Chat with us!