Telefon:
+49 (0)241 95 163 153
Fax:
+49 (0)241 95 163 155
E-Mail:
orders@antikoerper-online.de

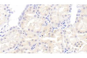
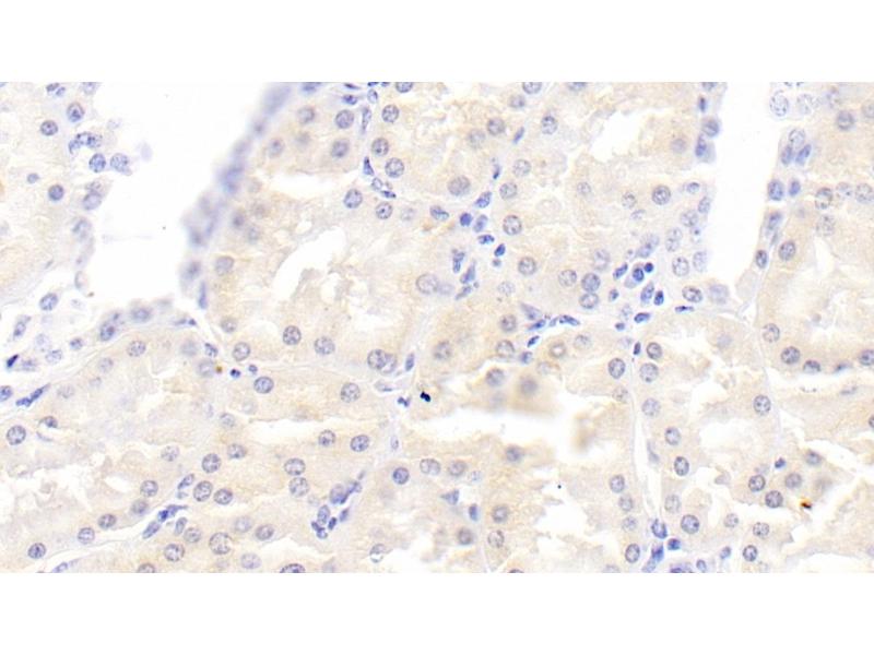
GREM2 Antikörper (AA 22-168)

Dieser Kaninchen Polyklonal Antikörper detektiert spezifisch GREM2 in WB, IHC, IP und ICC. Es zeigt Reaktivität gegenüber Proben von Human.
Produktnummer ABIN7443902
333,51 €
Zzgl. Versandkosten 20,00 € und MwSt
Lieferung nach: Deutschland
Lieferung in 11 bis 15 Werktagen

Kurzübersicht für GREM2 Antikörper (AA 22-168) (ABIN7443902)

Target

Alle GREM2 Antikörper anzeigen
GREM2 (Gremlin 2 (GREM2))

Reaktivität

  • 25
  • 12
  • 2
  • 2
  • 1
  • 1
  • 1
  • 1
Human

Wirt

  • 21
  • 4
Kaninchen

Klonalität

  • 23
  • 2
Polyklonal

Konjugat

  • 13
  • 2
  • 1
  • 1
  • 1
  • 1
  • 1
  • 1
  • 1
  • 1
  • 1
  • 1
Dieser GREM2 Antikörper ist unkonjugiert

Applikation

  • 8
  • 6
  • 5
  • 4
  • 4
  • 4
  • 4
  • 2
  • 2
  • 1
Western Blotting (WB), Immunohistochemistry (IHC), Immunoprecipitation (IP), Immunocytochemistry (ICC)
  • Bindungsspezifität

    • 6
    • 4
    • 2
    • 2
    • 1
    • 1
    • 1
    AA 22-168

    Verwendungszweck

    Polyclonal Antibody to Gremlin 2 (GREM2)

    Spezifität

    The antibody is a rabbit polyclonal antibody raised against GREM2. It has been selected for its ability to recognize GREM2 in immunohistochemical staining and western blotting.

    Kreuzreaktivität

    Maus, Schwein, Ratte

    Aufreinigung

    Antigen-specific affinity chromatography followed by Protein A affinity chromatography

    Immunogen

    Recombinant Gremlin 2 (GREM2) corresdonding to Arg22~Gln168 with N-terminal His Tag

    Isotyp

    IgG
  • Applikationshinweise

    Western blotting: 0.01-2 μg/mL,Immunohistochemistry: 5-20 μg/mL,Immunocytochemistry: 5-20 μg/mL,Optimal working dilutions must be determined by end user.

    Kommentare

    The thermal stability is described by the loss rate. The loss rate was determined by accelerated thermal degradation test, that is, incubate the protein at 37°C for 48h, and no obvious degradation and precipitation were observed. The loss rate is less than 5% within the expiration date under appropriate storage condition.

    Beschränkungen

    Nur für Forschungszwecke einsetzbar
  • Format

    Liquid

    Konzentration

    0.5 mg/mL

    Buffer

    PBS, pH 7.4, containing 0.02 % Sodium azide, 50 % glycerol.

    Konservierungsmittel

    Sodium azide

    Vorsichtsmaßnahmen

    This product contains Sodium azide: a POISONOUS AND HAZARDOUS SUBSTANCE which should be handled by trained staff only.

    Lagerung

    4 °C,-20 °C

    Informationen zur Lagerung

    Store at 4°C for frequent use. Stored at -20°C in a manual defrost freezer for two year without detectable loss of activity. Avoid repeated freeze-thaw cycles.

    Haltbarkeit

    24 months
  • Target

    GREM2 (Gremlin 2 (GREM2))

    Andere Bezeichnung

    GREM2

    Hintergrund

    Prdc, CKTSF1B2, DAND3, Cysteine Knot Superfamily,Homolog, Protein Related To DAN And Cerberus, DAN domain family member 3

    UniProt

    Q9H772
Sie sind hier:
Chat with us!