Telefon:
+49 (0)241 95 163 153
Fax:
+49 (0)241 95 163 155
E-Mail:
orders@antikoerper-online.de

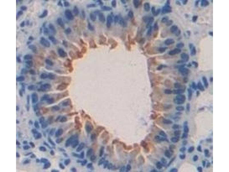
SLURP1 Antikörper (AA 1-110)

Der Kaninchen Polyklonal anti-SLURP1 Antikörper (ABIN7443746) detektiert spezifisch SLURP1 in WB und IHC. Dieser Antikörper reagiert spezifisch mit Proben aus Maus.
Produktnummer ABIN7443746
341,14 €
Zzgl. Versandkosten 20,00 € und MwSt
Lieferung nach: Deutschland
Lieferung in 11 bis 15 Werktagen

Kurzübersicht für SLURP1 Antikörper (AA 1-110) (ABIN7443746)

Target

Alle SLURP1 Antikörper anzeigen
SLURP1 (Secreted LY6/PLAUR Domain Containing 1 (SLURP1))

Reaktivität

  • 36
  • 2
  • 1
Maus

Wirt

  • 32
  • 5
Kaninchen

Klonalität

  • 34
  • 3
Polyklonal

Konjugat

  • 13
  • 3
  • 2
  • 2
  • 1
  • 1
  • 1
  • 1
  • 1
  • 1
  • 1
  • 1
  • 1
  • 1
  • 1
  • 1
  • 1
  • 1
  • 1
  • 1
  • 1
Dieser SLURP1 Antikörper ist unkonjugiert

Applikation

  • 24
  • 13
  • 9
  • 6
  • 4
  • 3
  • 2
  • 1
Western Blotting (WB), Immunohistochemistry (IHC)
  • Bindungsspezifität

    • 5
    • 5
    • 2
    • 1
    • 1
    • 1
    AA 1-110

    Verwendungszweck

    Polyclonal Antibody to Secreted Ly6/uPAR Related Protein 1 (SLURP1)

    Spezifität

    The antibody is a rabbit polyclonal antibody raised against SLURP1. It has been selected for its ability to recognize SLURP1 in immunohistochemical staining and western blotting.

    Aufreinigung

    Antigen-specific affinity chromatography followed by Protein A affinity chromatography

    Immunogen

    Recombinant Secreted Ly6/uPAR Related Protein 1 (SLURP1) corresdonding to Met1~Leu110 with N-terminal His and GST Tag

    Isotyp

    IgG
  • Applikationshinweise

    Western blotting: 0.01-2 μg/mL,Immunohistochemistry: 5-20 μg/mL,Optimal working dilutions must be determined by end user.

    Kommentare

    The thermal stability is described by the loss rate. The loss rate was determined by accelerated thermal degradation test, that is, incubate the protein at 37°C for 48h, and no obvious degradation and precipitation were observed. The loss rate is less than 5% within the expiration date under appropriate storage condition.

    Beschränkungen

    Nur für Forschungszwecke einsetzbar
  • Format

    Liquid

    Konzentration

    0.46 mg/mL

    Buffer

    0.01M PBS, pH 7.4, containing 0.05 % Proclin-300, 50 % glycerol.

    Konservierungsmittel

    ProClin

    Vorsichtsmaßnahmen

    This product contains ProClin: a POISONOUS AND HAZARDOUS SUBSTANCE which should be handled by trained staff only.

    Lagerung

    4 °C,-20 °C

    Informationen zur Lagerung

    Store at 4°C for frequent use. Stored at -20°C in a manual defrost freezer for two year without detectable loss of activity. Avoid repeated freeze-thaw cycles.

    Haltbarkeit

    24 months
  • Target

    SLURP1 (Secreted LY6/PLAUR Domain Containing 1 (SLURP1))

    Andere Bezeichnung

    SLURP1

    Hintergrund

    ARS, ANUP, ArsB, LY6LS, MDM, Lymphocyte Antigen 6-Like Secreted, ARS Component B, Anti-neoplastic urinary protein

    UniProt

    Q9Z0K7
Sie sind hier:
Chat with us!