Telefon:
+49 (0)241 95 163 153
Fax:
+49 (0)241 95 163 155
E-Mail:
orders@antikoerper-online.de

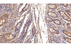
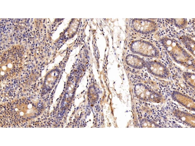
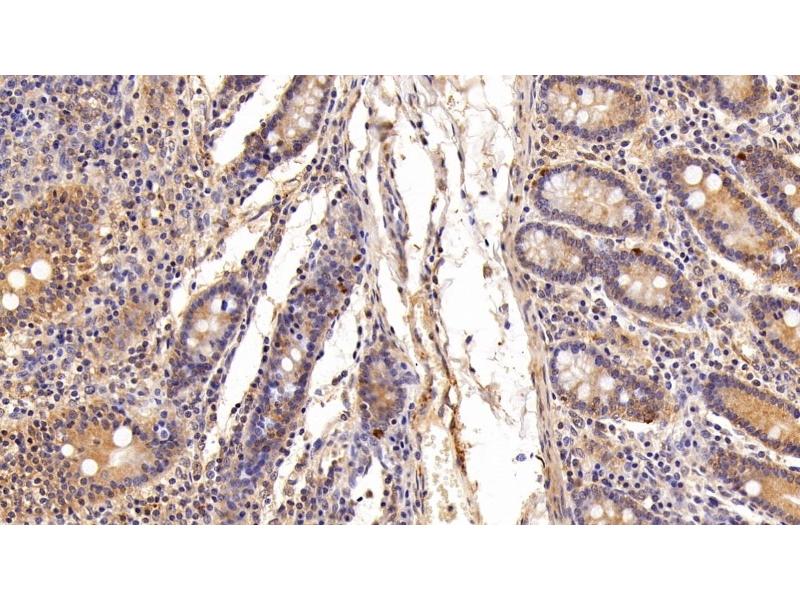
CLRN1 Antisense RNA 1 (CLRN1-AS1) (AA 2-157) Antikörper

Dieser Kaninchen Polyklonal Antikörper detektiert spezifisch CLRN1 Antisense RNA 1 in ICC, IHC, IP und WB. Es zeigt Reaktivität gegenüber Proben von Human.
Produktnummer ABIN7430072
334,46 €
Zzgl. Versandkosten 20,00 € und MwSt
Lieferung nach: Deutschland
Lieferung in 11 bis 15 Werktagen

Kurzübersicht für CLRN1 Antisense RNA 1 (CLRN1-AS1) (AA 2-157) Antikörper (ABIN7430072)

Target

CLRN1 Antisense RNA 1 (CLRN1-AS1)

Reaktivität

  • 1
  • 1
Human

Wirt

  • 1
  • 1
Kaninchen

Klonalität

  • 1
  • 1
Polyklonal

Konjugat

  • 2
Unkonjugiert

Applikation

Immunocytochemistry (ICC), Immunohistochemistry (IHC), Immunoprecipitation (IP), Western Blotting (WB)
  • Bindungsspezifität

    AA 2-157

    Verwendungszweck

    Polyclonal Antibody to Ubiquitin Cross Reactive Protein (UCRP)

    Spezifität

    The antibody is a rabbit polyclonal antibody raised against UCRP. It has been selected for its ability to recognize UCRP in immunohistochemical staining and western blotting.

    Kreuzreaktivität

    Schwein

    Aufreinigung

    Antigen-specific affinity chromatography followed by Protein A affinity chromatography

    Immunogen

    Recombinant Ubiquitin Cross Reactive Protein (UCRP) corresdonding to Gly2~Gly157 with N-terminal His Tag

    Isotyp

    IgG
  • Applikationshinweise

    Western blotting: 0.01-3 μg/mL,Immunohistochemistry: 5-30 μg/mL,Immunocytochemistry: 5-30 μg/mL,Optimal working dilutions must be determined by end user.

    Kommentare

    The thermal stability is described by the loss rate. The loss rate was determined by accelerated thermal degradation test, that is, incubate the protein at 37°C for 48h, and no obvious degradation and precipitation were observed. The loss rate is less than 5% within the expiration date under appropriate storage condition.

    Beschränkungen

    Nur für Forschungszwecke einsetzbar
  • Format

    Liquid

    Konzentration

    0.45 mg/mL

    Buffer

    0.01M PBS, pH 7.4, containing 0.05 % Proclin-300, 50 % glycerol.

    Konservierungsmittel

    ProClin

    Vorsichtsmaßnahmen

    This product contains ProClin: a POISONOUS AND HAZARDOUS SUBSTANCE which should be handled by trained staff only.

    Lagerung

    4 °C,-20 °C

    Informationen zur Lagerung

    Store at 4°C for frequent use. Stored at -20°C in a manual defrost freezer for two year without detectable loss of activity. Avoid repeated freeze-thaw cycles.

    Haltbarkeit

    24 months
  • Target

    CLRN1 Antisense RNA 1 (CLRN1-AS1)

    Andere Bezeichnung

    UCRP

    Hintergrund

    G1P2, IFI15, ISG15, Interferon Alpha-Inducible Protein clone IFI-15K, Interferon Induced Protein 15, Interferon-induced 17 kDa protein

    UniProt

    P05161
Sie sind hier:
Chat with us!