Telefon:
+49 (0)241 95 163 153
Fax:
+49 (0)241 95 163 155
E-Mail:
orders@antikoerper-online.de

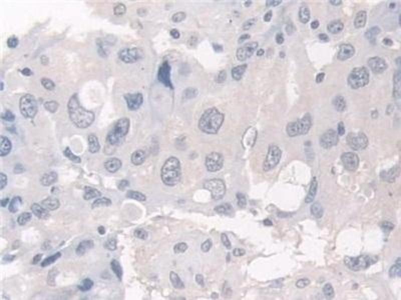
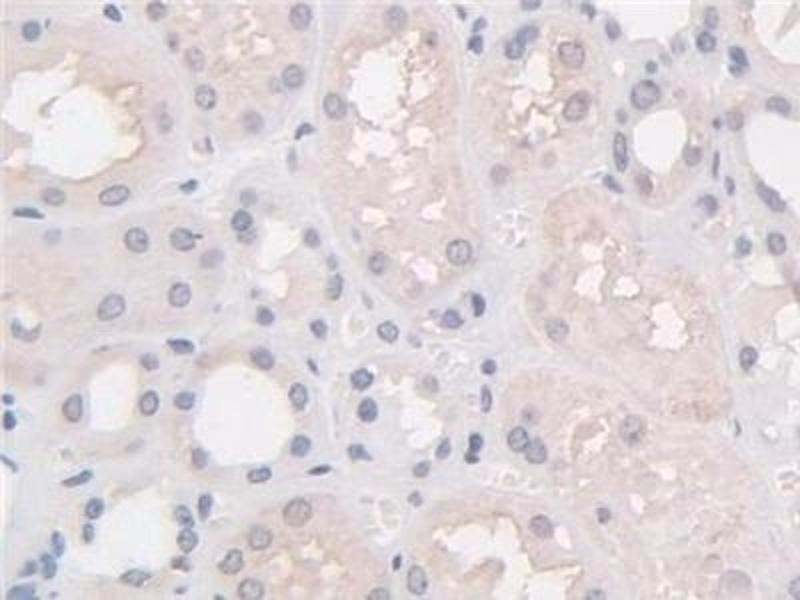
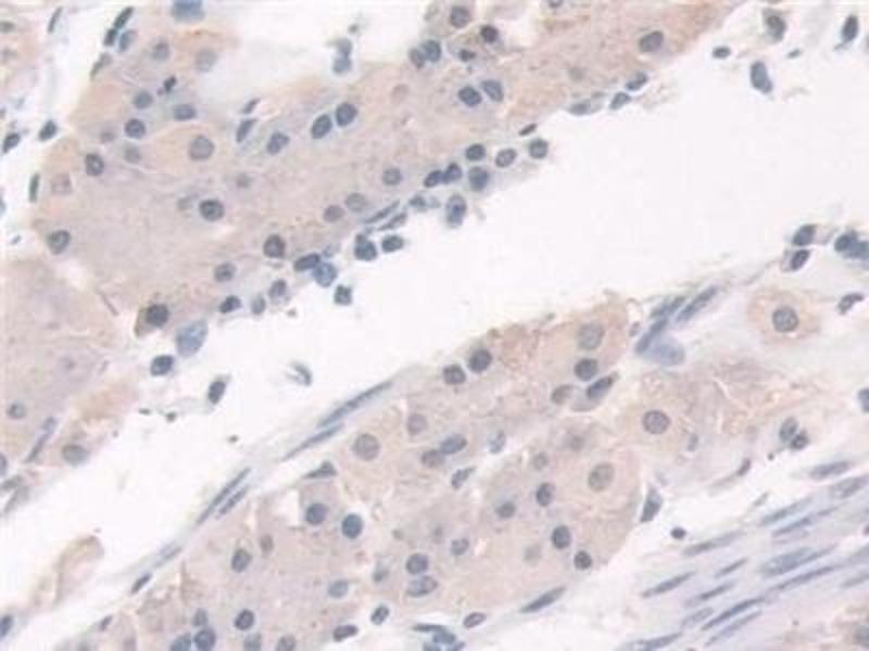
HPS4 Antikörper (AA 6-192)

Der Kaninchen Polyklonal anti-HPS4 Antikörper wird verwendet zum Nachweis von HPS4 in Proben von Human. Er wurde validiert für WB, IHC, IP und ICC.
Produktnummer ABIN7443911
333,51 €
Zzgl. Versandkosten 20,00 € und MwSt
Lieferung nach: Deutschland
Lieferung in 11 bis 15 Werktagen

Kurzübersicht für HPS4 Antikörper (AA 6-192) (ABIN7443911)

Target

Alle HPS4 Antikörper anzeigen
HPS4 (Hermansky-Pudlak Syndrome 4 (HPS4))

Reaktivität

  • 5
  • 3
  • 1
Human

Wirt

  • 6
Kaninchen

Klonalität

  • 6
Polyklonal

Konjugat

  • 6
Dieser HPS4 Antikörper ist unkonjugiert

Applikation

  • 6
  • 4
  • 2
  • 1
  • 1
Western Blotting (WB), Immunohistochemistry (IHC), Immunoprecipitation (IP), Immunocytochemistry (ICC)
  • Bindungsspezifität

    • 1
    • 1
    • 1
    AA 6-192

    Verwendungszweck

    Polyclonal Antibody to Hermansky Pudlak Syndrome Protein 4 (HPS4)

    Spezifität

    The antibody is a rabbit polyclonal antibody raised against HPS4. It has been selected for its ability to recognize HPS4 in immunohistochemical staining and western blotting.

    Kreuzreaktivität

    Schwein, Ratte

    Aufreinigung

    Antigen-specific affinity chromatography followed by Protein A affinity chromatography

    Immunogen

    Recombinant Hermansky Pudlak Syndrome Protein 4 (HPS4) corresdonding to Ser6~Gly192

    Isotyp

    IgG
  • Applikationshinweise

    Western blotting: 0.5-2 μg/mL,Immunohistochemistry: 5-20 μg/mL,Immunocytochemistry: 5-20 μg/mL,Optimal working dilutions must be determined by end user.

    Kommentare

    The thermal stability is described by the loss rate. The loss rate was determined by accelerated thermal degradation test, that is, incubate the protein at 37°C for 48h, and no obvious degradation and precipitation were observed. The loss rate is less than 5% within the expiration date under appropriate storage condition.

    Beschränkungen

    Nur für Forschungszwecke einsetzbar
  • Format

    Liquid

    Konzentration

    500 μg/mL

    Buffer

    0.01M PBS, pH 7.4, containing 0.05 % Proclin-300, 50 % glycerol.

    Konservierungsmittel

    ProClin

    Vorsichtsmaßnahmen

    This product contains ProClin: a POISONOUS AND HAZARDOUS SUBSTANCE which should be handled by trained staff only.

    Lagerung

    4 °C,-20 °C

    Informationen zur Lagerung

    Store at 4°C for frequent use. Stored at -20°C in a manual defrost freezer for two year without detectable loss of activity. Avoid repeated freeze-thaw cycles.

    Haltbarkeit

    24 months
  • Target

    HPS4 (Hermansky-Pudlak Syndrome 4 (HPS4))

    Andere Bezeichnung

    HPS4

    Hintergrund

    LE, Light-ear protein homolog

    UniProt

    Q9NQG7
Sie sind hier:
Chat with us!