Telefon:
+49 (0)241 95 163 153
Fax:
+49 (0)241 95 163 155
E-Mail:
orders@antikoerper-online.de

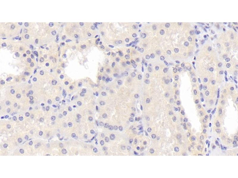
LPCAT1 Antikörper (AA 70-237)

Der Kaninchen Polyklonal anti-LPCAT1 Antikörper wird verwendet zum Nachweis von LPCAT1 in Proben von Human. Er wurde validiert für WB, IHC, IP und ICC.
Produktnummer ABIN7436324
310,62 €
Zzgl. Versandkosten 20,00 € und MwSt
Lieferung nach: Deutschland
Lieferung in 11 bis 15 Werktagen

Kurzübersicht für LPCAT1 Antikörper (AA 70-237) (ABIN7436324)

Target

Alle LPCAT1 Antikörper anzeigen
LPCAT1 (Lysophosphatidylcholine Acyltransferase 1 (LPCAT1))

Reaktivität

  • 28
  • 6
  • 4
  • 3
  • 2
  • 2
  • 2
  • 2
  • 2
  • 1
  • 1
  • 1
  • 1
Human

Wirt

  • 29
  • 1
Kaninchen

Klonalität

  • 17
  • 13
Polyklonal

Konjugat

  • 16
  • 2
  • 1
  • 1
  • 1
  • 1
  • 1
  • 1
  • 1
  • 1
  • 1
  • 1
  • 1
  • 1
Dieser LPCAT1 Antikörper ist unkonjugiert

Applikation

  • 29
  • 25
  • 13
  • 11
  • 9
  • 9
  • 5
  • 3
  • 1
Western Blotting (WB), Immunohistochemistry (IHC), Immunoprecipitation (IP), Immunocytochemistry (ICC)
  • Bindungsspezifität

    • 7
    • 2
    • 1
    • 1
    • 1
    • 1
    • 1
    • 1
    AA 70-237

    Verwendungszweck

    Polyclonal Antibody to Lysophosphatidylcholine Acyltransferase 1 (LPCAT1)

    Spezifität

    The antibody is a rabbit polyclonal antibody raised against LPCAT1. It has been selected for its ability to recognize LPCAT1 in immunohistochemical staining and western blotting.

    Kreuzreaktivität

    Maus, Schwein, Ratte

    Aufreinigung

    Antigen-specific affinity chromatography followed by Protein A affinity chromatography

    Immunogen

    Recombinant Lysophosphatidylcholine Acyltransferase 1 (LPCAT1) corresdonding to Pro70~Arg237 with N-terminal His and GST Tag

    Isotyp

    IgG
  • Applikationshinweise

    Western blotting: 0.01-2 μg/mL,Immunohistochemistry: 5-20 μg/mL,Immunocytochemistry: 5-20 μg/mL,Optimal working dilutions must be determined by end user.

    Kommentare

    The thermal stability is described by the loss rate. The loss rate was determined by accelerated thermal degradation test, that is, incubate the protein at 37°C for 48h, and no obvious degradation and precipitation were observed. The loss rate is less than 5% within the expiration date under appropriate storage condition.

    Beschränkungen

    Nur für Forschungszwecke einsetzbar
  • Format

    Liquid

    Konzentration

    0.49 mg/mL

    Buffer

    PBS, pH 7.4, containing 0.02 % Sodium azide, 50 % glycerol.

    Konservierungsmittel

    Sodium azide

    Vorsichtsmaßnahmen

    This product contains Sodium azide: a POISONOUS AND HAZARDOUS SUBSTANCE which should be handled by trained staff only.

    Lagerung

    4 °C,-20 °C

    Informationen zur Lagerung

    Store at 4°C for frequent use. Stored at -20°C in a manual defrost freezer for two year without detectable loss of activity. Avoid repeated freeze-thaw cycles.

    Haltbarkeit

    24 months
  • Target

    LPCAT1 (Lysophosphatidylcholine Acyltransferase 1 (LPCAT1))

    Andere Bezeichnung

    LPCAT1

    Hintergrund

    AYTL2, PFAAP3, Acyltransferase Like 2, 1-alkylglycerophosphocholine O-acetyltransferase, Phosphonoformate immuno-associated protein 3, Acetyl-CoA:lyso-PAF acetyltransferase

    UniProt

    Q8NF37
Sie sind hier:
Chat with us!