Telefon:
+49 (0)241 95 163 153
Fax:
+49 (0)241 95 163 155
E-Mail:
orders@antikoerper-online.de

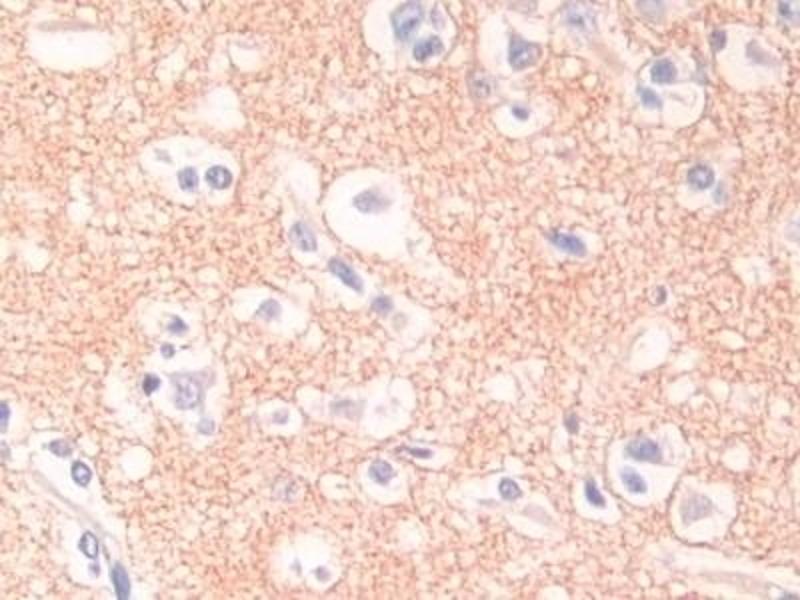
Desmocollin 1 Antikörper (AA 486-686)

Der Kaninchen Polyklonal anti-Desmocollin 1 Antikörper (ABIN7436270) detektiert spezifisch Desmocollin 1 in WB, IHC, IP und ICC. Dieser Antikörper reagiert spezifisch mit Proben aus Human.
Produktnummer ABIN7436270
310,62 €
Zzgl. Versandkosten 20,00 € und MwSt
Lieferung nach: Deutschland
Lieferung in 11 bis 15 Werktagen

Kurzübersicht für Desmocollin 1 Antikörper (AA 486-686) (ABIN7436270)

Target

Alle Desmocollin 1 (DSC1) Antikörper anzeigen
Desmocollin 1 (DSC1)

Reaktivität

  • 38
  • 9
  • 4
Human

Wirt

  • 37
  • 3
  • 1
Kaninchen

Klonalität

  • 35
  • 6
Polyklonal

Konjugat

  • 27
  • 3
  • 2
  • 1
  • 1
  • 1
  • 1
  • 1
  • 1
  • 1
  • 1
  • 1
Dieser Desmocollin 1 Antikörper ist unkonjugiert

Applikation

  • 30
  • 16
  • 14
  • 7
  • 4
  • 3
  • 2
  • 2
  • 2
  • 1
  • 1
Western Blotting (WB), Immunohistochemistry (IHC), Immunoprecipitation (IP), Immunocytochemistry (ICC)
  • Bindungsspezifität

    • 10
    • 7
    • 2
    • 2
    • 2
    • 1
    • 1
    • 1
    AA 486-686

    Verwendungszweck

    Polyclonal Antibody to Desmocollin 1 (DSC1)

    Spezifität

    The antibody is a rabbit polyclonal antibody raised against DSC1. It has been selected for its ability to recognize DSC1 in immunohistochemical staining and western blotting.

    Aufreinigung

    Antigen-specific affinity chromatography followed by Protein A affinity chromatography

    Immunogen

    Recombinant Desmocollin 1 (DSC1) corresdonding to Ala486~Asn686 with N-terminal His Tag

    Isotyp

    IgG
  • Applikationshinweise

    Western blotting: 0.01-3 μg/mL,Immunohistochemistry: 5-30 μg/mL,Immunocytochemistry: 5-30 μg/mL,Optimal working dilutions must be determined by end user.

    Kommentare

    The thermal stability is described by the loss rate. The loss rate was determined by accelerated thermal degradation test, that is, incubate the protein at 37°C for 48h, and no obvious degradation and precipitation were observed. The loss rate is less than 5% within the expiration date under appropriate storage condition.

    Beschränkungen

    Nur für Forschungszwecke einsetzbar
  • Format

    Liquid

    Konzentration

    0.28 mg/mL

    Buffer

    0.01M PBS, pH 7.4, containing 0.05 % Proclin-300, 50 % glycerol.

    Konservierungsmittel

    ProClin

    Vorsichtsmaßnahmen

    This product contains ProClin: a POISONOUS AND HAZARDOUS SUBSTANCE which should be handled by trained staff only.

    Lagerung

    4 °C,-20 °C

    Informationen zur Lagerung

    Store at 4°C for frequent use. Stored at -20°C in a manual defrost freezer for two year without detectable loss of activity. Avoid repeated freeze-thaw cycles.

    Haltbarkeit

    24 months
  • Target

    Desmocollin 1 (DSC1)

    Andere Bezeichnung

    DSC1

    Hintergrund

    CDHF1, DG2/DG3, Cadherin family member 1, Desmosomal glycoprotein 2/3

    UniProt

    Q08554
Sie sind hier:
Chat with us!