Telefon:
+49 (0)241 95 163 153
Fax:
+49 (0)241 95 163 155
E-Mail:
orders@antikoerper-online.de

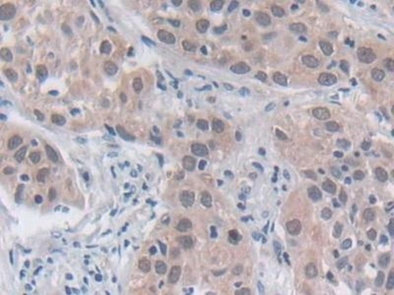
SRY Antikörper (AA 1-204)

Der Kaninchen Polyklonal anti-SRY Antikörper wird verwendet zum Nachweis von SRY in Proben von Human. Er wurde validiert für WB und IHC.
Produktnummer ABIN7441337
310,62 €
Zzgl. Versandkosten 20,00 € und MwSt
Lieferung nach: Deutschland
Lieferung in 11 bis 15 Werktagen

Kurzübersicht für SRY Antikörper (AA 1-204) (ABIN7441337)

Target

Alle SRY Antikörper anzeigen
SRY (Sex Determining Region Y (SRY))

Reaktivität

  • 28
  • 13
  • 2
  • 1
  • 1
Human

Wirt

  • 34
  • 9
Kaninchen

Klonalität

  • 36
  • 7
Polyklonal

Konjugat

  • 27
  • 4
  • 3
  • 3
  • 1
  • 1
  • 1
  • 1
  • 1
  • 1
Dieser SRY Antikörper ist unkonjugiert

Applikation

  • 26
  • 21
  • 5
  • 4
  • 1
  • 1
  • 1
  • 1
  • 1
  • 1
Western Blotting (WB), Immunohistochemistry (IHC)
  • Bindungsspezifität

    • 5
    • 4
    • 3
    • 3
    • 1
    • 1
    • 1
    • 1
    • 1
    • 1
    • 1
    • 1
    • 1
    AA 1-204

    Verwendungszweck

    Polyclonal Antibody to Sex Determining Region Y (SRY)

    Spezifität

    The antibody is a rabbit polyclonal antibody raised against SRY. It has been selected for its ability to recognize SRY in immunohistochemical staining and western blotting.

    Aufreinigung

    Antigen-specific affinity chromatography followed by Protein A affinity chromatography

    Immunogen

    Recombinant Sex Determining Region Y (SRY) corresdonding to Met1~Leu204 with N-terminal His Tag

    Isotyp

    IgG
  • Applikationshinweise

    Western blotting: 0.01-2 μg/mL,Immunohistochemistry: 5-30 μg/mL,Optimal working dilutions must be determined by end user.

    Kommentare

    The thermal stability is described by the loss rate. The loss rate was determined by accelerated thermal degradation test, that is, incubate the protein at 37°C for 48h, and no obvious degradation and precipitation were observed. The loss rate is less than 5% within the expiration date under appropriate storage condition.

    Beschränkungen

    Nur für Forschungszwecke einsetzbar
  • Format

    Liquid

    Konzentration

    0.5 mg/mL

    Buffer

    0.01M PBS, pH 7.4, containing 0.05 % Proclin-300, 50 % glycerol.

    Konservierungsmittel

    ProClin

    Vorsichtsmaßnahmen

    This product contains ProClin: a POISONOUS AND HAZARDOUS SUBSTANCE which should be handled by trained staff only.

    Lagerung

    4 °C,-20 °C

    Informationen zur Lagerung

    Store at 4°C for frequent use. Stored at -20°C in a manual defrost freezer for two year without detectable loss of activity. Avoid repeated freeze-thaw cycles.

    Haltbarkeit

    24 months
  • Target

    SRY (Sex Determining Region Y (SRY))

    Andere Bezeichnung

    Sex Determining Region Y

    Hintergrund

    TDF, TDY, Testis-Determining Factor

    UniProt

    Q05066
Sie sind hier:
Chat with us!