Telefon:
+49 (0)241 95 163 153
Fax:
+49 (0)241 95 163 155
E-Mail:
orders@antikoerper-online.de

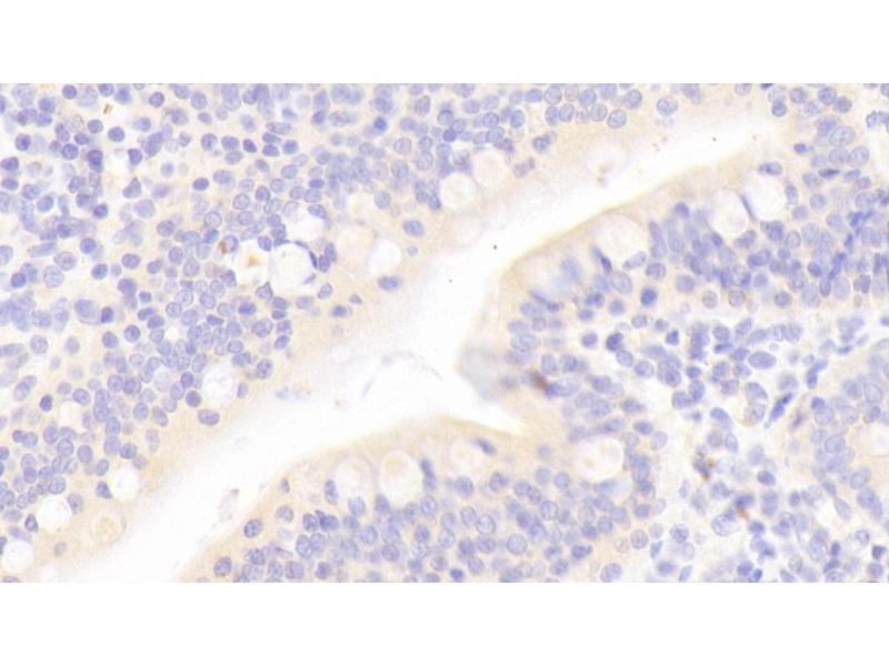
REG3A Antikörper (AA 40-164)

Dieser Kaninchen Polyklonal Antikörper detektiert spezifisch REG3A in WB, IHC, IP und ICC. Es zeigt Reaktivität gegenüber Proben von Human.
Produktnummer ABIN7435835
310,62 €
Zzgl. Versandkosten 20,00 € und MwSt
Lieferung nach: Deutschland
Lieferung in 11 bis 15 Werktagen

Kurzübersicht für REG3A Antikörper (AA 40-164) (ABIN7435835)

Target

Alle REG3A Antikörper anzeigen
REG3A (Regenerating Islet-Derived 3 alpha (REG3A))

Reaktivität

  • 65
  • 17
  • 8
  • 1
  • 1
  • 1
  • 1
  • 1
  • 1
  • 1
Human

Wirt

  • 73
  • 5
  • 2
  • 1
Kaninchen

Klonalität

  • 76
  • 5
Polyklonal

Konjugat

  • 36
  • 11
  • 10
  • 5
  • 1
  • 1
  • 1
  • 1
  • 1
  • 1
  • 1
  • 1
  • 1
  • 1
  • 1
  • 1
  • 1
  • 1
  • 1
  • 1
  • 1
  • 1
  • 1
Dieser REG3A Antikörper ist unkonjugiert

Applikation

  • 58
  • 29
  • 19
  • 14
  • 13
  • 13
  • 8
  • 5
  • 5
  • 4
  • 2
  • 2
  • 1
Western Blotting (WB), Immunohistochemistry (IHC), Immunoprecipitation (IP), Immunocytochemistry (ICC)
  • Bindungsspezifität

    • 15
    • 9
    • 8
    • 6
    • 6
    • 5
    • 4
    • 3
    • 3
    • 2
    • 2
    • 2
    • 1
    • 1
    • 1
    • 1
    AA 40-164

    Verwendungszweck

    Polyclonal Antibody to Regenerating Islet Derived Protein 3 Alpha (REG3a)

    Spezifität

    The antibody is a rabbit polyclonal antibody raised against REG3a. It has been selected for its ability to recognize REG3a in immunohistochemical staining and western blotting.

    Kreuzreaktivität

    Schwein

    Aufreinigung

    Antigen-specific affinity chromatography followed by Protein A affinity chromatography

    Immunogen

    Recombinant Regenerating Islet Derived Protein 3 Alpha (REG3a) corresdonding to Cys40~Asn164 with N-terminal His Tag

    Isotyp

    IgG
  • Applikationshinweise

    Western blotting: 0.01-2 μg/mL,Immunohistochemistry: 5-20 μg/mL,Immunocytochemistry: 5-20 μg/mL,Optimal working dilutions must be determined by end user.

    Kommentare

    The thermal stability is described by the loss rate. The loss rate was determined by accelerated thermal degradation test, that is, incubate the protein at 37°C for 48h, and no obvious degradation and precipitation were observed. The loss rate is less than 5% within the expiration date under appropriate storage condition.

    Beschränkungen

    Nur für Forschungszwecke einsetzbar
  • Format

    Liquid

    Konzentration

    0.5 mg/mL

    Buffer

    PBS, pH 7.4, containing 0.02 % Sodium azide, 50 % glycerol.

    Konservierungsmittel

    Sodium azide

    Vorsichtsmaßnahmen

    This product contains Sodium azide: a POISONOUS AND HAZARDOUS SUBSTANCE which should be handled by trained staff only.

    Lagerung

    4 °C,-20 °C

    Informationen zur Lagerung

    Store at 4°C for frequent use. Stored at -20°C in a manual defrost freezer for two year without detectable loss of activity. Avoid repeated freeze-thaw cycles.

    Haltbarkeit

    24 months
  • Target

    REG3A (Regenerating Islet-Derived 3 alpha (REG3A))

    Andere Bezeichnung

    REG3a

    Hintergrund

    HIP, INGAP, PAP-H, PAP1, PBCGF, REG-III, REG3, Pancreatitis-Associated Protein, Hepatointestinal pancreatic protein, Human proislet peptide, Pancreatitis-associated protein 1

    UniProt

    Q06141
Sie sind hier:
Chat with us!