Telefon:
+49 (0)241 95 163 153
Fax:
+49 (0)241 95 163 155
E-Mail:
orders@antikoerper-online.de

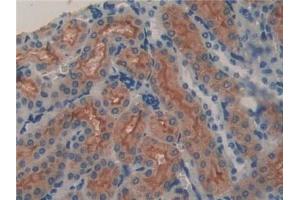
LCN8 Antikörper (AA 27-176)

Dieser Kaninchen Polyklonal Antikörper detektiert spezifisch LCN8 in WB und IHC. Es zeigt Reaktivität gegenüber Proben von Maus.
Produktnummer ABIN7443596
317,29 €
Zzgl. Versandkosten 20,00 € und MwSt
Lieferung nach: Deutschland
Lieferung in 11 bis 15 Werktagen

Kurzübersicht für LCN8 Antikörper (AA 27-176) (ABIN7443596)

Target

Alle LCN8 Antikörper anzeigen
LCN8 (Lipocalin 8 (LCN8))

Reaktivität

  • 17
  • 14
  • 4
Maus

Wirt

  • 34
Kaninchen

Klonalität

  • 34
Polyklonal

Konjugat

  • 15
  • 2
  • 2
  • 2
  • 1
  • 1
  • 1
  • 1
  • 1
  • 1
  • 1
  • 1
  • 1
  • 1
  • 1
  • 1
  • 1
Dieser LCN8 Antikörper ist unkonjugiert

Applikation

  • 34
  • 13
  • 13
  • 10
  • 5
  • 4
  • 4
  • 3
  • 3
  • 1
Western Blotting (WB), Immunohistochemistry (IHC)
  • Bindungsspezifität

    • 15
    • 9
    • 4
    • 2
    • 2
    • 2
    • 1
    • 1
    • 1
    AA 27-176

    Verwendungszweck

    Polyclonal Antibody to Lipocalin 8 (LCN8)

    Spezifität

    The antibody is a rabbit polyclonal antibody raised against LCN8. It has been selected for its ability to recognize LCN8 in immunohistochemical staining and western blotting.

    Aufreinigung

    Antigen-specific affinity chromatography followed by Protein A affinity chromatography

    Immunogen

    Recombinant Lipocalin 8 (LCN8) corresdonding to Leu27~Val176

    Isotyp

    IgG
  • Applikationshinweise

    Western blotting: 0.01-3 μg/mL,Immunohistochemistry: 5-20 μg/mL,Optimal working dilutions must be determined by end user.

    Kommentare

    The thermal stability is described by the loss rate. The loss rate was determined by accelerated thermal degradation test, that is, incubate the protein at 37°C for 48h, and no obvious degradation and precipitation were observed. The loss rate is less than 5% within the expiration date under appropriate storage condition.

    Beschränkungen

    Nur für Forschungszwecke einsetzbar
  • Format

    Liquid

    Konzentration

    0.5 mg/mL

    Buffer

    0.01M PBS, pH 7.4, containing 0.05 % Proclin-300, 50 % glycerol.

    Konservierungsmittel

    ProClin

    Vorsichtsmaßnahmen

    This product contains ProClin: a POISONOUS AND HAZARDOUS SUBSTANCE which should be handled by trained staff only.

    Lagerung

    4 °C,-20 °C

    Informationen zur Lagerung

    Store at 4°C for frequent use. Stored at -20°C in a manual defrost freezer for two year without detectable loss of activity. Avoid repeated freeze-thaw cycles.

    Haltbarkeit

    24 months
  • Target

    LCN8 (Lipocalin 8 (LCN8))

    Andere Bezeichnung

    LCN8

    Hintergrund

    LCN5, Epididymal-specific lipocalin-8

    UniProt

    Q924P3
Sie sind hier:
Chat with us!