Telefon:
+49 (0)241 95 163 153
Fax:
+49 (0)241 95 163 155
E-Mail:
orders@antikoerper-online.de

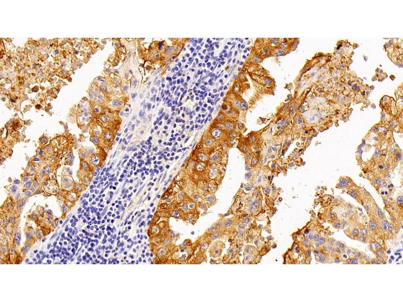
SFTPA2 Antikörper (AA 21-114)

Der Kaninchen Polyklonal anti-SFTPA2 Antikörper (ABIN7443935) detektiert spezifisch SFTPA2 in WB, IHC, IP und ICC. Dieser Antikörper reagiert spezifisch mit Proben aus Human.
Produktnummer ABIN7443935
310,62 €
Zzgl. Versandkosten 20,00 € und MwSt
Lieferung nach: Deutschland
Lieferung in 11 bis 15 Werktagen

Kurzübersicht für SFTPA2 Antikörper (AA 21-114) (ABIN7443935)

Target

Alle SFTPA2 Antikörper anzeigen
SFTPA2 (Surfactant Associated Protein A2 (SFTPA2))

Reaktivität

  • 15
  • 4
  • 3
  • 1
  • 1
  • 1
  • 1
  • 1
  • 1
  • 1
  • 1
  • 1
Human

Wirt

  • 16
Kaninchen

Klonalität

  • 16
Polyklonal

Konjugat

  • 11
  • 1
  • 1
  • 1
  • 1
  • 1
Dieser SFTPA2 Antikörper ist unkonjugiert

Applikation

  • 16
  • 9
  • 3
  • 2
  • 2
  • 1
  • 1
  • 1
Western Blotting (WB), Immunohistochemistry (IHC), Immunoprecipitation (IP), Immunocytochemistry (ICC)
  • Bindungsspezifität

    • 7
    • 5
    • 3
    • 1
    • 1
    • 1
    • 1
    • 1
    AA 21-114

    Verwendungszweck

    Polyclonal Antibody to Surfactant Associated Protein A2 (SPA2)

    Spezifität

    The antibody is a rabbit polyclonal antibody raised against SPA2. It has been selected for its ability to recognize SPA2 in immunohistochemical staining and western blotting.

    Kreuzreaktivität

    Maus, Ratte

    Aufreinigung

    Antigen-specific affinity chromatography followed by Protein A affinity chromatography

    Immunogen

    Recombinant Surfactant Associated Protein A2 (SPA2) corresdonding to Glu21~Phe114 linked with EVKDVCVGTR EESLFQCEF with N-terminal His and GST Tag

    Isotyp

    IgG
  • Applikationshinweise

    Western blotting: 0.5-2 μg/mL,Immunohistochemistry: 5-20 μg/mL,Immunocytochemistry: 5-20 μg/mL,Optimal working dilutions must be determined by end user.

    Kommentare

    The thermal stability is described by the loss rate. The loss rate was determined by accelerated thermal degradation test, that is, incubate the protein at 37°C for 48h, and no obvious degradation and precipitation were observed. The loss rate is less than 5% within the expiration date under appropriate storage condition.

    Beschränkungen

    Nur für Forschungszwecke einsetzbar
  • Format

    Liquid

    Konzentration

    500 μg/mL

    Buffer

    PBS, pH 7.4, containing 0.02 % Sodium azide, 50 % glycerol.

    Konservierungsmittel

    Sodium azide

    Vorsichtsmaßnahmen

    This product contains Sodium azide: a POISONOUS AND HAZARDOUS SUBSTANCE which should be handled by trained staff only.

    Lagerung

    4 °C,-20 °C

    Informationen zur Lagerung

    Store at 4°C for frequent use. Stored at -20°C in a manual defrost freezer for two year without detectable loss of activity. Avoid repeated freeze-thaw cycles.

    Haltbarkeit

    24 months
  • Target

    SFTPA2 (Surfactant Associated Protein A2 (SFTPA2))

    Andere Bezeichnung

    SPA2

    Hintergrund

    SFTPA2B, COLEC5, SP2A, SPA1 beta, SP-A2, SPAII, Collectin-5, Pulmonary Surfactant Protein A2, 35 kDa pulmonary surfactant-associated protein, Alveolar proteinosis protein

    UniProt

    Q8IWL1
Sie sind hier:
Chat with us!