Telefon:
+49 (0)241 95 163 153
Fax:
+49 (0)241 95 163 155
E-Mail:
orders@antikoerper-online.de

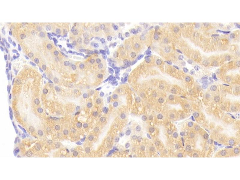
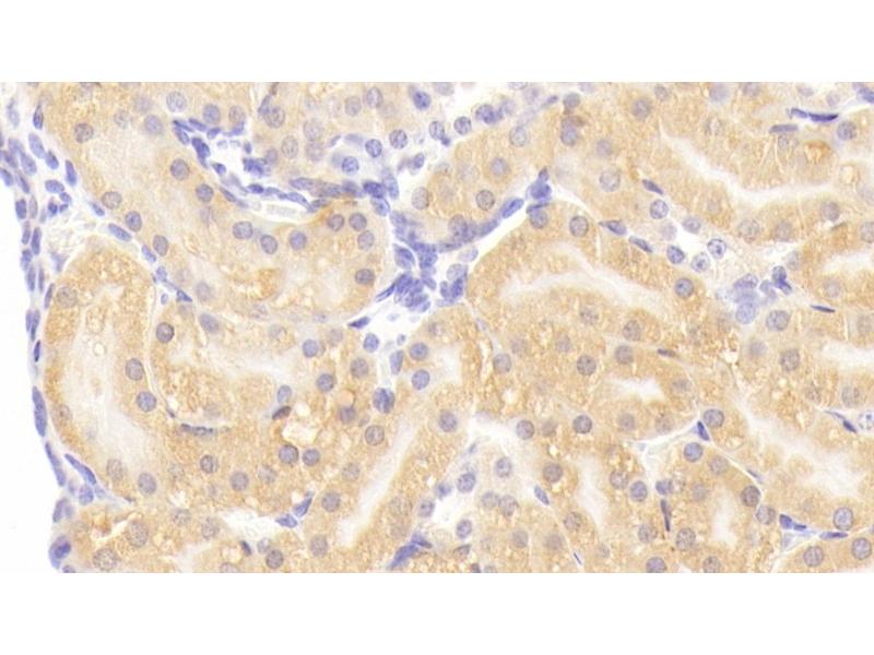
HSPBP1 Antikörper (AA 209-354)

Der Kaninchen Polyklonal anti-HSPBP1 Antikörper (ABIN7437578) detektiert spezifisch HSPBP1 in WB und IHC. Dieser Antikörper reagiert spezifisch mit Proben aus Maus.
Produktnummer ABIN7437578
317,29 €
Zzgl. Versandkosten 20,00 € und MwSt
Lieferung nach: Deutschland
Lieferung in 11 bis 15 Werktagen

Kurzübersicht für HSPBP1 Antikörper (AA 209-354) (ABIN7437578)

Target

Alle HSPBP1 Antikörper anzeigen
HSPBP1 (HSPA Binding Protein, Cytoplasmic Cochaperone 1 (HSPBP1))

Reaktivität

  • 33
  • 26
  • 8
  • 2
  • 2
  • 2
  • 1
  • 1
  • 1
  • 1
  • 1
Maus

Wirt

  • 51
  • 6
Kaninchen

Klonalität

  • 52
  • 5
Polyklonal

Konjugat

  • 29
  • 11
  • 2
  • 2
  • 1
  • 1
  • 1
  • 1
  • 1
  • 1
  • 1
  • 1
  • 1
  • 1
  • 1
  • 1
  • 1
Dieser HSPBP1 Antikörper ist unkonjugiert

Applikation

  • 41
  • 27
  • 14
  • 13
  • 13
  • 10
  • 7
  • 7
  • 3
  • 3
  • 3
  • 2
  • 1
  • 1
Western Blotting (WB), Immunohistochemistry (IHC)
  • Bindungsspezifität

    • 15
    • 9
    • 5
    • 3
    • 2
    • 2
    • 2
    • 2
    • 2
    • 1
    • 1
    • 1
    • 1
    AA 209-354

    Verwendungszweck

    Polyclonal Antibody to Heat Shock 70kDa Binding Protein 1 (HSPBP1)

    Spezifität

    The antibody is a rabbit polyclonal antibody raised against HSPBP1. It has been selected for its ability to recognize HSPBP1 in immunohistochemical staining and western blotting.

    Kreuzreaktivität

    Rind (Kuh), Human, Schwein

    Aufreinigung

    Antigen-specific affinity chromatography followed by Protein A affinity chromatography

    Immunogen

    Recombinant Heat Shock 70kDa Binding Protein 1 (HSPBP1) corresdonding to Ala209~Ser354 (Accession # Q99P31)

    Isotyp

    IgG
  • Applikationshinweise

    Western blotting: 0.01-2 μg/mL,Immunohistochemistry: 5-20 μg/mL,Optimal working dilutions must be determined by end user.

    Kommentare

    The thermal stability is described by the loss rate. The loss rate was determined by accelerated thermal degradation test, that is, incubate the protein at 37°C for 48h, and no obvious degradation and precipitation were observed. The loss rate is less than 5% within the expiration date under appropriate storage condition.

    Beschränkungen

    Nur für Forschungszwecke einsetzbar
  • Format

    Liquid

    Konzentration

    0.5 mg/mL

    Buffer

    0.01M PBS, pH 7.4, containing 0.05 % Proclin-300, 50 % glycerol.

    Konservierungsmittel

    ProClin

    Vorsichtsmaßnahmen

    This product contains ProClin: a POISONOUS AND HAZARDOUS SUBSTANCE which should be handled by trained staff only.

    Lagerung

    4 °C,-20 °C

    Informationen zur Lagerung

    Store at 4°C for frequent use. Stored at -20°C in a manual defrost freezer for two year without detectable loss of activity. Avoid repeated freeze-thaw cycles.

    Haltbarkeit

    24 months
  • Target

    HSPBP1 (HSPA Binding Protein, Cytoplasmic Cochaperone 1 (HSPBP1))

    Andere Bezeichnung

    HSPBP1

    Hintergrund

    FES1, Hsp70 Interacting Protein, Hsp70 Binding Protein,Cytoplasmic Cochaperone 1, Heat shock protein-binding protein 1, Hsp70-interacting protein 1

    UniProt

    Q99P31
Sie sind hier:
Chat with us!