Telefon:
+49 (0)241 95 163 153
Fax:
+49 (0)241 95 163 155
E-Mail:
orders@antikoerper-online.de

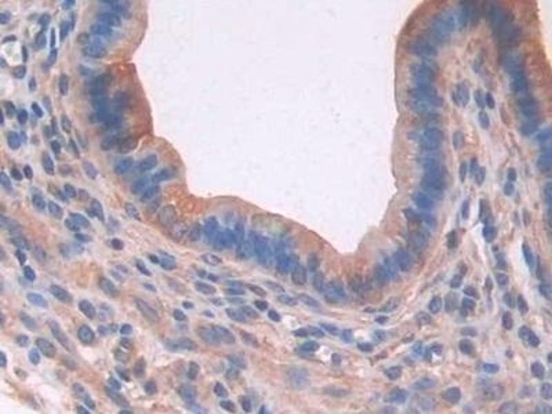
PON2 Antikörper (AA 4-289)

Der Kaninchen Polyklonal anti-PON2 Antikörper (ABIN7440995) detektiert spezifisch PON2 in WB, IHC, IP und ICC. Dieser Antikörper reagiert spezifisch mit Proben aus Maus.
Produktnummer ABIN7440995
317,29 €
Zzgl. Versandkosten 20,00 € und MwSt
Lieferung nach: Deutschland
Lieferung in 11 bis 15 Werktagen

Kurzübersicht für PON2 Antikörper (AA 4-289) (ABIN7440995)

Target

Alle PON2 Antikörper anzeigen
PON2 (Paraoxonase 2 (PON2))

Reaktivität

  • 67
  • 35
  • 27
Maus

Wirt

  • 61
  • 3
  • 2
  • 1
Kaninchen

Klonalität

  • 45
  • 22
Polyklonal

Konjugat

  • 30
  • 6
  • 4
  • 3
  • 3
  • 3
  • 3
  • 3
  • 3
  • 3
  • 2
  • 2
  • 1
  • 1
Dieser PON2 Antikörper ist unkonjugiert

Applikation

  • 47
  • 32
  • 26
  • 12
  • 12
  • 10
  • 7
  • 6
  • 1
  • 1
Western Blotting (WB), Immunohistochemistry (IHC), Immunoprecipitation (IP), Immunocytochemistry (ICC)
  • Bindungsspezifität

    • 8
    • 7
    • 5
    • 3
    • 3
    • 2
    • 2
    • 1
    • 1
    • 1
    • 1
    • 1
    • 1
    • 1
    • 1
    • 1
    • 1
    • 1
    AA 4-289

    Verwendungszweck

    Polyclonal Antibody to Paraoxonase 2 (PON2)

    Spezifität

    The antibody is a rabbit polyclonal antibody raised against PON2. It has been selected for its ability to recognize PON2 in immunohistochemical staining and western blotting.

    Kreuzreaktivität

    Human, Ratte

    Aufreinigung

    Antigen-specific affinity chromatography followed by Protein A affinity chromatography

    Immunogen

    Recombinant Paraoxonase 2 (PON2) corresdonding to Met4~Arg289 with N-terminal His Tag

    Isotyp

    IgG
  • Applikationshinweise

    Western blotting: 0.01-2 μg/mL,Immunohistochemistry: 5-20 μg/mL,Immunofluorescence:5-20 μg/mL,Optimal working dilutions must be determined by end user.

    Kommentare

    The thermal stability is described by the loss rate. The loss rate was determined by accelerated thermal degradation test, that is, incubate the protein at 37°C for 48h, and no obvious degradation and precipitation were observed. The loss rate is less than 5% within the expiration date under appropriate storage condition.

    Beschränkungen

    Nur für Forschungszwecke einsetzbar
  • Format

    Liquid

    Konzentration

    0.4 mg/mL

    Buffer

    PBS, pH 7.4, containing 0.02 % Sodium azide, 50 % glycerol.

    Konservierungsmittel

    Sodium azide

    Vorsichtsmaßnahmen

    This product contains Sodium azide: a POISONOUS AND HAZARDOUS SUBSTANCE which should be handled by trained staff only.

    Lagerung

    4 °C,-20 °C

    Informationen zur Lagerung

    Store at 4°C for frequent use. Stored at -20°C in a manual defrost freezer for two year without detectable loss of activity. Avoid repeated freeze-thaw cycles.

    Haltbarkeit

    24 months
  • Target

    PON2 (Paraoxonase 2 (PON2))

    Andere Bezeichnung

    PON2

    Hintergrund

    Serum Paraoxonase/Arylesterase 2, Paraoxonase Nirs, Aromatic esterase 2, Serum aryldialkylphosphatase 2

    UniProt

    Q62086
Sie sind hier:
Chat with us!