Telefon:
+49 (0)241 95 163 153
Fax:
+49 (0)241 95 163 155
E-Mail:
orders@antikoerper-online.de

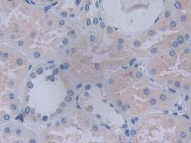
YARS Antikörper (AA 2-528)

Der Kaninchen Polyklonal anti-YARS Antikörper wird verwendet zum Nachweis von YARS in Proben von Human. Er wurde validiert für WB, IHC, IP und ICC.
Produktnummer ABIN7443434
310,62 €
Zzgl. Versandkosten 20,00 € und MwSt
Lieferung nach: Deutschland
Lieferung in 11 bis 15 Werktagen

Kurzübersicht für YARS Antikörper (AA 2-528) (ABIN7443434)

Target

Alle YARS (Yars) Antikörper anzeigen
YARS (Yars) (Tyrosyl-tRNA Synthetase (Yars))

Reaktivität

  • 49
  • 23
  • 22
  • 6
  • 5
  • 4
  • 3
  • 3
  • 3
  • 1
  • 1
  • 1
  • 1
Human

Wirt

  • 44
  • 6
Kaninchen

Klonalität

  • 44
  • 6
Polyklonal

Konjugat

  • 33
  • 4
  • 4
  • 3
  • 1
  • 1
  • 1
  • 1
  • 1
  • 1
Dieser YARS Antikörper ist unkonjugiert

Applikation

  • 40
  • 19
  • 12
  • 8
  • 7
  • 5
  • 4
  • 4
  • 2
  • 2
  • 1
Western Blotting (WB), Immunohistochemistry (IHC), Immunoprecipitation (IP), Immunocytochemistry (ICC)
  • Bindungsspezifität

    • 7
    • 6
    • 5
    • 4
    • 2
    • 2
    • 1
    • 1
    • 1
    • 1
    • 1
    • 1
    AA 2-528

    Verwendungszweck

    Polyclonal Antibody to Tyrosyl tRNA Synthetase (YARS)

    Spezifität

    The antibody is a rabbit polyclonal antibody raised against YARS. It has been selected for its ability to recognize YARS in immunohistochemical staining and western blotting.

    Kreuzreaktivität

    Maus, Ratte

    Aufreinigung

    Antigen-specific affinity chromatography followed by Protein A affinity chromatography

    Immunogen

    Recombinant Tyrosyl tRNA Synthetase (YARS) corresdonding to Gly2~Ser528

    Isotyp

    IgG
  • Applikationshinweise

    Western blotting: 0.01-2 μg/mL,Immunohistochemistry: 5-20 μg/mL,Immunocytochemistry: 5-20 μg/mL,Optimal working dilutions must be determined by end user.

    Kommentare

    The thermal stability is described by the loss rate. The loss rate was determined by accelerated thermal degradation test, that is, incubate the protein at 37°C for 48h, and no obvious degradation and precipitation were observed. The loss rate is less than 5% within the expiration date under appropriate storage condition.

    Beschränkungen

    Nur für Forschungszwecke einsetzbar
  • Format

    Liquid

    Konzentration

    0.25 mg/mL

    Buffer

    0.01M PBS, pH 7.4, containing 0.05 % Proclin-300, 50 % glycerol.

    Konservierungsmittel

    ProClin, Sodium azide

    Vorsichtsmaßnahmen

    This product contains ProClin and Sodium azide: POISONOUS AND HAZARDOUS SUBSTANCES which should be handled by trained staff only.

    Lagerung

    4 °C,-20 °C

    Informationen zur Lagerung

    Store at 4°C for frequent use. Stored at -20°C in a manual defrost freezer for two year without detectable loss of activity. Avoid repeated freeze-thaw cycles.

    Haltbarkeit

    24 months
  • Target

    YARS (Yars) (Tyrosyl-tRNA Synthetase (Yars))

    Andere Bezeichnung

    YARS

    Hintergrund

    CMTDIC, TYRRS, YRS, YTS, Tyrosine tRNA Ligase 1,Cytoplasmic

    UniProt

    P54577
Sie sind hier:
Chat with us!