Telefon:
+49 (0)241 95 163 153
Fax:
+49 (0)241 95 163 155
E-Mail:
orders@antikoerper-online.de

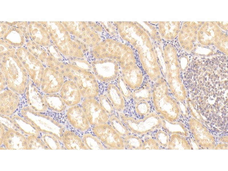
TMPRSS2 Antikörper (AA 284-492)

Der Kaninchen Polyklonal anti-TMPRSS2 Antikörper (ABIN7435142) detektiert spezifisch TMPRSS2 in WB, IHC, ICC und IP. Dieser Antikörper reagiert spezifisch mit Proben aus Human.
Produktnummer ABIN7435142
310,62 €
Zzgl. Versandkosten 20,00 € und MwSt
Lieferung nach: Deutschland
Lieferung in 11 bis 15 Werktagen

Kurzübersicht für TMPRSS2 Antikörper (AA 284-492) (ABIN7435142)

Target

Alle TMPRSS2 Antikörper anzeigen
TMPRSS2 (Transmembrane Protease, serine 2 (TMPRSS2))

Reaktivität

  • 47
  • 22
  • 14
  • 1
  • 1
  • 1
Human

Wirt

  • 41
  • 6
  • 1
  • 1
Kaninchen

Klonalität

  • 33
  • 16
Polyklonal

Konjugat

  • 32
  • 2
  • 2
  • 2
  • 2
  • 2
  • 2
  • 2
  • 1
  • 1
  • 1
Dieser TMPRSS2 Antikörper ist unkonjugiert

Applikation

  • 41
  • 23
  • 15
  • 13
  • 12
  • 11
  • 7
  • 3
  • 2
Western Blotting (WB), Immunohistochemistry (IHC), Immunocytochemistry (ICC), Immunoprecipitation (IP)
  • Bindungsspezifität

    • 4
    • 2
    • 2
    • 2
    • 2
    • 2
    • 1
    • 1
    • 1
    • 1
    • 1
    • 1
    • 1
    • 1
    • 1
    • 1
    • 1
    AA 284-492

    Verwendungszweck

    Polyclonal Antibody to Transmembrane Protease, Serine 2 (TMPRSS2)

    Spezifität

    The antibody is a rabbit polyclonal antibody raised against TMPRSS2. It has been selected for its ability to recognize TMPRSS2 in immunohistochemical staining and western blotting.

    Kreuzreaktivität

    Maus, Schwein

    Aufreinigung

    Antigen-specific affinity chromatography followed by Protein A affinity chromatography

    Immunogen

    Recombinant Transmembrane Protease, Serine 2 (TMPRSS2) corresdonding to Ser284~Gly492 with N-terminal His Tag

    Isotyp

    IgG
  • Applikationshinweise

    Western blotting: 0.01-2 μg/mL,Immunohistochemistry: 5-20 μg/mL,Immunocytochemistry: 5-20 μg/mL,Optimal working dilutions must be determined by end user.

    Kommentare

    The thermal stability is described by the loss rate. The loss rate was determined by accelerated thermal degradation test, that is, incubate the protein at 37°C for 48h, and no obvious degradation and precipitation were observed. The loss rate is less than 5% within the expiration date under appropriate storage condition.

    Beschränkungen

    Nur für Forschungszwecke einsetzbar
  • Format

    Liquid

    Konzentration

    0.5 mg/mL

    Buffer

    PBS, pH 7.4, containing 0.02 % Sodium azide, 50 % glycerol.

    Konservierungsmittel

    Sodium azide

    Vorsichtsmaßnahmen

    This product contains Sodium azide: a POISONOUS AND HAZARDOUS SUBSTANCE which should be handled by trained staff only.

    Lagerung

    4 °C,-20 °C

    Informationen zur Lagerung

    Store at 4°C for frequent use. Stored at -20°C in a manual defrost freezer for two year without detectable loss of activity. Avoid repeated freeze-thaw cycles.

    Haltbarkeit

    24 months
  • Target

    TMPRSS2 (Transmembrane Protease, serine 2 (TMPRSS2))

    Andere Bezeichnung

    TMPRSS2

    Hintergrund

    PRSS10, Serine protease 10

    UniProt

    O15393

    Pathways

    SARS-CoV-2 Protein Interaktom
Sie sind hier:
Chat with us!