Telefon:
+49 (0)241 95 163 153
Fax:
+49 (0)241 95 163 155
E-Mail:
orders@antikoerper-online.de

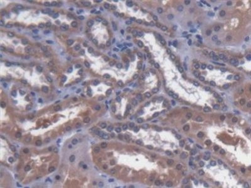
Metaxin 1 Antikörper (AA 175-387)

Der Kaninchen Polyklonal anti-Metaxin 1 Antikörper (ABIN7444631) detektiert spezifisch Metaxin 1 in WB und IHC. Dieser Antikörper reagiert spezifisch mit Proben aus Human.
Produktnummer ABIN7444631
310,62 €
Zzgl. Versandkosten 20,00 € und MwSt
Lieferung nach: Deutschland
Lieferung in 11 bis 15 Werktagen

Kurzübersicht für Metaxin 1 Antikörper (AA 175-387) (ABIN7444631)

Target

Alle Metaxin 1 (MTX1) Antikörper anzeigen
Metaxin 1 (MTX1)

Reaktivität

  • 9
  • 8
  • 5
  • 3
  • 2
  • 2
  • 2
  • 2
  • 2
  • 1
Human

Wirt

  • 12
  • 2
  • 1
Kaninchen

Klonalität

  • 12
  • 3
Polyklonal

Konjugat

  • 15
Dieser Metaxin 1 Antikörper ist unkonjugiert

Applikation

  • 10
  • 6
  • 3
  • 2
  • 2
  • 2
Western Blotting (WB), Immunohistochemistry (IHC)
  • Bindungsspezifität

    • 2
    • 1
    • 1
    • 1
    • 1
    • 1
    • 1
    AA 175-387

    Verwendungszweck

    Polyclonal Antibody to Metaxin 1 (MTX1)

    Spezifität

    The antibody is a rabbit polyclonal antibody raised against MTX1. It has been selected for its ability to recognize MTX1 in immunohistochemical staining and western blotting.

    Kreuzreaktivität

    Ratte

    Aufreinigung

    Antigen-specific affinity chromatography followed by Protein A affinity chromatography

    Immunogen

    Recombinant Metaxin 1 (MTX1) corresdonding to Val175~Leu387

    Isotyp

    IgG
  • Applikationshinweise

    Western blotting: 0.01-2 μg/mL,Immunohistochemistry: 5-20 μg/mL,Optimal working dilutions must be determined by end user.

    Kommentare

    The thermal stability is described by the loss rate. The loss rate was determined by accelerated thermal degradation test, that is, incubate the protein at 37°C for 48h, and no obvious degradation and precipitation were observed. The loss rate is less than 5% within the expiration date under appropriate storage condition.

    Beschränkungen

    Nur für Forschungszwecke einsetzbar
  • Format

    Liquid

    Konzentration

    0.5 mg/mL

    Buffer

    0.01M PBS, pH 7.4, containing 0.05 % Proclin-300, 50 % glycerol.

    Konservierungsmittel

    ProClin

    Vorsichtsmaßnahmen

    This product contains ProClin: a POISONOUS AND HAZARDOUS SUBSTANCE which should be handled by trained staff only.

    Lagerung

    4 °C,-20 °C

    Informationen zur Lagerung

    Store at 4°C for frequent use. Stored at -20°C in a manual defrost freezer for two year without detectable loss of activity. Avoid repeated freeze-thaw cycles.

    Haltbarkeit

    24 months
  • Target

    Metaxin 1 (MTX1)

    Andere Bezeichnung

    MTX1

    Hintergrund

    MTXN, Mitochondrial outer membrane import complex protein 1

    UniProt

    Q13505

    Pathways

    Dicarboxylic Acid Transport
Sie sind hier:
Chat with us!