Telefon:
+49 (0)241 95 163 153
Fax:
+49 (0)241 95 163 155
E-Mail:
orders@antikoerper-online.de

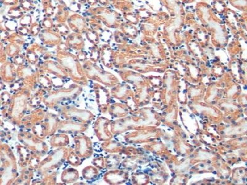
COX6C Antikörper (AA 1-76)

Der Kaninchen Polyklonal anti-COX6C Antikörper (ABIN7445342) detektiert spezifisch COX6C in WB, IHC, IP und ICC. Dieser Antikörper reagiert spezifisch mit Proben aus Maus.
Produktnummer ABIN7445342
317,29 €
Zzgl. Versandkosten 20,00 € und MwSt
Lieferung nach: Deutschland
Lieferung in 11 bis 15 Werktagen

Kurzübersicht für COX6C Antikörper (AA 1-76) (ABIN7445342)

Target

Alle COX6C Antikörper anzeigen
COX6C (Cytochrome C Oxidase Subunit VIc (COX6C))

Reaktivität

  • 54
  • 40
  • 24
Maus

Wirt

  • 48
  • 6
Kaninchen

Klonalität

  • 39
  • 15
Polyklonal

Konjugat

  • 18
  • 3
  • 3
  • 3
  • 3
  • 3
  • 3
  • 3
  • 1
  • 1
  • 1
  • 1
  • 1
  • 1
  • 1
  • 1
  • 1
  • 1
  • 1
  • 1
  • 1
  • 1
  • 1
Dieser COX6C Antikörper ist unkonjugiert

Applikation

  • 41
  • 17
  • 13
  • 13
  • 10
  • 9
  • 8
  • 3
  • 3
  • 1
  • 1
Western Blotting (WB), Immunohistochemistry (IHC), Immunoprecipitation (IP), Immunocytochemistry (ICC)
  • Bindungsspezifität

    • 15
    • 2
    • 2
    • 1
    • 1
    • 1
    • 1
    • 1
    • 1
    • 1
    • 1
    • 1
    AA 1-76

    Verwendungszweck

    Polyclonal Antibody to Cytochrome C Oxidase Subunit VIc (COX6c)

    Spezifität

    The antibody is a rabbit polyclonal antibody raised against COX6c. It has been selected for its ability to recognize COX6c in immunohistochemical staining and western blotting.

    Kreuzreaktivität

    Human, Schwein, Ratte

    Aufreinigung

    Antigen-specific affinity chromatography followed by Protein A affinity chromatography

    Immunogen

    Recombinant Cytochrome C Oxidase Subunit VIc (COX6c) corresdonding to Met1~Lys76 with N-terminal His and GST Tag

    Isotyp

    IgG
  • Applikationshinweise

    Western blotting: 0.01-2 μg/mL,Immunohistochemistry: 5-20 μg/mL,Immunocytochemistry: 5-20 μg/mL,Optimal working dilutions must be determined by end user.

    Kommentare

    The thermal stability is described by the loss rate. The loss rate was determined by accelerated thermal degradation test, that is, incubate the protein at 37°C for 48h, and no obvious degradation and precipitation were observed. The loss rate is less than 5% within the expiration date under appropriate storage condition.

    Beschränkungen

    Nur für Forschungszwecke einsetzbar
  • Format

    Liquid

    Konzentration

    0.31 mg/mL

    Buffer

    PBS, pH 7.4, containing 0.02 % Sodium azide, 50 % glycerol.

    Konservierungsmittel

    Sodium azide

    Vorsichtsmaßnahmen

    This product contains Sodium azide: a POISONOUS AND HAZARDOUS SUBSTANCE which should be handled by trained staff only.

    Lagerung

    4 °C,-20 °C

    Informationen zur Lagerung

    Store at 4°C for frequent use. Stored at -20°C in a manual defrost freezer for two year without detectable loss of activity. Avoid repeated freeze-thaw cycles.

    Haltbarkeit

    24 months
  • Target

    COX6C (Cytochrome C Oxidase Subunit VIc (COX6C))

    Andere Bezeichnung

    COX6c

    Hintergrund

    COX6-C

    UniProt

    Q9CPQ1

    Pathways

    Proton Transport
Sie sind hier:
Chat with us!