Telefon:
+49 (0)241 95 163 153
Fax:
+49 (0)241 95 163 155
E-Mail:
orders@antikoerper-online.de

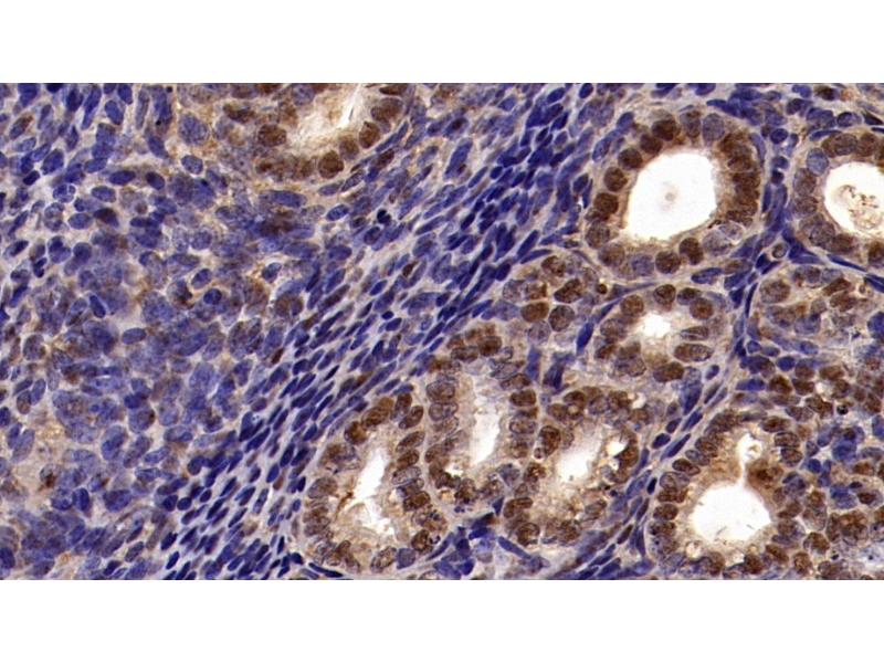
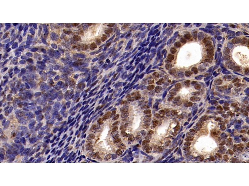
CBX3 Antikörper (AA 1-183)

Der Kaninchen Polyklonal anti-CBX3 Antikörper (ABIN7434851) detektiert spezifisch CBX3 in WB, IHC, IP und ICC. Dieser Antikörper reagiert spezifisch mit Proben aus Maus.
Produktnummer ABIN7434851
317,29 €
Zzgl. Versandkosten 20,00 € und MwSt
Lieferung nach: Deutschland
Lieferung in 11 bis 15 Werktagen

Kurzübersicht für CBX3 Antikörper (AA 1-183) (ABIN7434851)

Target

Alle CBX3 Antikörper anzeigen
CBX3 (Chromobox Homolog 3 (CBX3))

Reaktivität

  • 131
  • 87
  • 71
  • 12
  • 10
  • 7
  • 7
  • 7
  • 6
  • 6
  • 5
  • 4
  • 3
  • 2
  • 1
Maus

Wirt

  • 98
  • 32
  • 2
Kaninchen

Klonalität

  • 72
  • 60
Polyklonal

Konjugat

  • 61
  • 8
  • 5
  • 5
  • 5
  • 5
  • 5
  • 5
  • 4
  • 3
  • 2
  • 2
  • 2
  • 2
  • 2
  • 2
  • 2
  • 2
  • 2
  • 2
  • 2
  • 2
  • 2
Dieser CBX3 Antikörper ist unkonjugiert

Applikation

  • 76
  • 51
  • 38
  • 30
  • 28
  • 28
  • 19
  • 17
  • 14
  • 8
  • 7
  • 1
  • 1
  • 1
  • 1
Western Blotting (WB), Immunohistochemistry (IHC), Immunoprecipitation (IP), Immunocytochemistry (ICC)
  • Bindungsspezifität

    • 25
    • 5
    • 5
    • 5
    • 4
    • 3
    • 2
    • 2
    • 2
    • 1
    • 1
    • 1
    • 1
    • 1
    • 1
    • 1
    • 1
    • 1
    • 1
    • 1
    • 1
    • 1
    • 1
    • 1
    AA 1-183

    Verwendungszweck

    Polyclonal Antibody to Chromobox Homolog 3 (CBX3)

    Spezifität

    The antibody is a rabbit polyclonal antibody raised against CBX3. It has been selected for its ability to recognize CBX3 in immunohistochemical staining and western blotting.

    Kreuzreaktivität

    Human

    Aufreinigung

    Antigen-specific affinity chromatography followed by Protein A affinity chromatography

    Immunogen

    Recombinant Chromobox Homolog 3 (CBX3) corresdonding to Met1~Gln183 (Accession # P23198)

    Isotyp

    IgG
  • Applikationshinweise

    Western blotting: 0.2-2 μg/mL,1:250-2500 Immunohistochemistry: 5-20 μg/mL,1:25-100 Immunocytochemistry: 5-20 μg/mL,1:25-100 Optimal working dilutions must be determined by end user.

    Kommentare

    The thermal stability is described by the loss rate. The loss rate was determined by accelerated thermal degradation test, that is, incubate the protein at 37°C for 48h, and no obvious degradation and precipitation were observed. The loss rate is less than 5% within the expiration date under appropriate storage condition.

    Beschränkungen

    Nur für Forschungszwecke einsetzbar
  • Format

    Liquid

    Konzentration

    500 μg/mL

    Buffer

    PBS, pH 7.4, containing 0.02 % Sodium azide, 50 % glycerol.

    Konservierungsmittel

    Sodium azide

    Vorsichtsmaßnahmen

    This product contains Sodium azide: a POISONOUS AND HAZARDOUS SUBSTANCE which should be handled by trained staff only.

    Lagerung

    4 °C,-20 °C

    Informationen zur Lagerung

    Store at 4°C for frequent use. Stored at -20°C in a manual defrost freezer for two year without detectable loss of activity. Avoid repeated freeze-thaw cycles.

    Haltbarkeit

    24 months
  • Target

    CBX3 (Chromobox Homolog 3 (CBX3))

    Andere Bezeichnung

    CBX3

    Hintergrund

    HECH, HP1-GAMMA, HP1Hs-Gamma, HP1 Gamma Homolog,Drosophila, Heterochromatin protein 1 homolog gamma, Modifier 2 protein

    UniProt

    P23198
Sie sind hier:
Chat with us!