Telefon:
+49 (0)241 95 163 153
Fax:
+49 (0)241 95 163 155
E-Mail:
orders@antikoerper-online.de

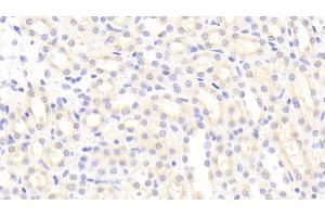
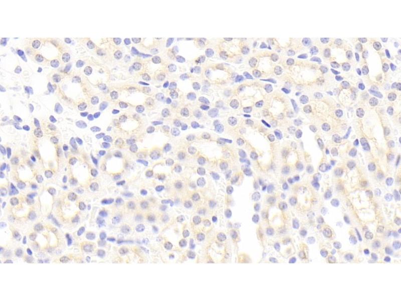
Iba1 Antikörper (AA 35-102)

Der Kaninchen Polyklonal anti-Iba1 Antikörper (ABIN7434800) detektiert spezifisch Iba1 in WB, IHC, ICC und IP. Dieser Antikörper reagiert spezifisch mit Proben aus Maus.
Produktnummer ABIN7434800
317,29 €
Zzgl. Versandkosten 20,00 € und MwSt
Lieferung nach: Deutschland
Lieferung in 11 bis 15 Werktagen

Kurzübersicht für Iba1 Antikörper (AA 35-102) (ABIN7434800)

Target

Alle Iba1 (IBA1) Antikörper anzeigen
Iba1 (IBA1) (Ionized Calcium-binding Adapter Molecule 1 (IBA1))

Reaktivität

  • 148
  • 73
  • 68
  • 2
  • 1
  • 1
  • 1
Maus

Wirt

  • 118
  • 55
  • 6
  • 1
  • 1
Kaninchen

Klonalität

  • 91
  • 90
Polyklonal

Konjugat

  • 68
  • 24
  • 11
  • 6
  • 5
  • 5
  • 5
  • 5
  • 5
  • 5
  • 3
  • 3
  • 3
  • 3
  • 3
  • 3
  • 3
  • 3
  • 3
  • 2
  • 2
  • 1
  • 1
  • 1
  • 1
  • 1
  • 1
  • 1
  • 1
  • 1
  • 1
  • 1
Dieser Iba1 Antikörper ist unkonjugiert

Applikation

  • 114
  • 110
  • 41
  • 37
  • 33
  • 32
  • 27
  • 21
  • 18
  • 14
  • 14
  • 5
  • 5
  • 3
  • 3
  • 2
  • 2
  • 1
Western Blotting (WB), Immunohistochemistry (IHC), Immunocytochemistry (ICC), Immunoprecipitation (IP)
  • Bindungsspezifität

    • 33
    • 19
    • 16
    • 16
    • 9
    • 7
    • 6
    • 5
    • 3
    • 2
    • 2
    • 2
    • 1
    • 1
    AA 35-102

    Verwendungszweck

    Polyclonal Antibody to Ionized Calcium-binding Adapter Molecule 1 (IBA1)

    Spezifität

    The antibody is a rabbit polyclonal antibody raised against AIF1. It has been selected for its ability to recognize AIF1 in immunohistochemical staining and western blotting.

    Aufreinigung

    Antigen-specific affinity chromatography followed by Protein A affinity chromatography

    Immunogen

    Recombinant Ionized Calcium-binding Adapter Molecule 1 (IBA1) corresdonding to Pro35~Ser102 with N-terminal His Tag

    Isotyp

    IgG
  • Applikationshinweise

    Western blotting: 0.01-2 μg/mL,Immunohistochemistry: 5-20 μg/mL,Immunocytochemistry: 5-20 μg/mL,Optimal working dilutions must be determined by end user.

    Kommentare

    The thermal stability is described by the loss rate. The loss rate was determined by accelerated thermal degradation test, that is, incubate the protein at 37°C for 48h, and no obvious degradation and precipitation were observed. The loss rate is less than 5% within the expiration date under appropriate storage condition.

    Beschränkungen

    Nur für Forschungszwecke einsetzbar
  • Format

    Liquid

    Konzentration

    0.5 mg/mL

    Buffer

    PBS, pH 7.4, containing 0.02 % Sodium azide, 50 % glycerol.

    Konservierungsmittel

    Sodium azide

    Vorsichtsmaßnahmen

    This product contains Sodium azide: a POISONOUS AND HAZARDOUS SUBSTANCE which should be handled by trained staff only.

    Lagerung

    4 °C,-20 °C

    Informationen zur Lagerung

    Store at 4°C for frequent use. Stored at -20°C in a manual defrost freezer for two year without detectable loss of activity. Avoid repeated freeze-thaw cycles.

    Haltbarkeit

    24 months
  • Target

    Iba1 (IBA1) (Ionized Calcium-binding Adapter Molecule 1 (IBA1))

    Andere Bezeichnung

    IBA1

    Hintergrund

    AIF1, IRT1, Daintain, Protein G1, Allograft Inflammatory Factor 1

    UniProt

    O70200

    Pathways

    Smooth Muscle Cell Migration
Sie sind hier:
Chat with us!