Telefon:
+49 (0)241 95 163 153
Fax:
+49 (0)241 95 163 155
E-Mail:
orders@antikoerper-online.de

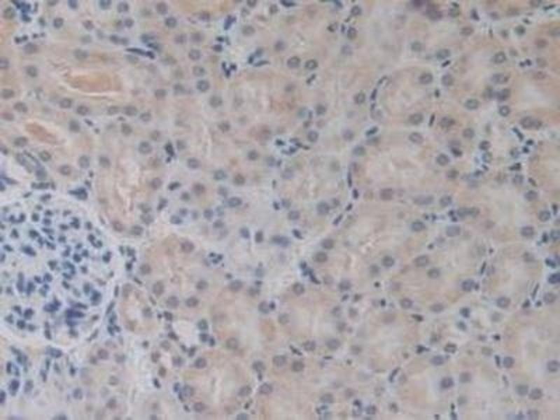
BMP15 Antikörper (AA 274-390)

Der Kaninchen Polyklonal anti-BMP15 Antikörper wird verwendet zum Nachweis von BMP15 in Proben von Maus. Er wurde validiert für WB, IHC und ICC.
Produktnummer ABIN7441940
317,29 €
Zzgl. Versandkosten 20,00 € und MwSt
Lieferung nach: Deutschland
Lieferung in 11 bis 15 Werktagen

Kurzübersicht für BMP15 Antikörper (AA 274-390) (ABIN7441940)

Target

Alle BMP15 Antikörper anzeigen
BMP15 (Bone Morphogenetic Protein 15 (BMP15))

Reaktivität

  • 58
  • 26
  • 25
Maus

Wirt

  • 55
  • 4
  • 1
Kaninchen

Klonalität

  • 45
  • 15
Polyklonal

Konjugat

  • 26
  • 3
  • 2
  • 2
  • 2
  • 2
  • 2
  • 2
  • 2
  • 2
  • 1
  • 1
  • 1
  • 1
  • 1
  • 1
  • 1
  • 1
  • 1
  • 1
  • 1
  • 1
  • 1
  • 1
  • 1
Dieser BMP15 Antikörper ist unkonjugiert

Applikation

  • 50
  • 17
  • 10
  • 7
  • 5
  • 3
  • 3
  • 2
  • 1
  • 1
  • 1
Western Blotting (WB), Immunohistochemistry (IHC), Immunocytochemistry (ICC)
  • Bindungsspezifität

    • 7
    • 5
    • 3
    • 2
    • 2
    • 2
    • 1
    • 1
    • 1
    • 1
    • 1
    • 1
    AA 274-390

    Verwendungszweck

    Polyclonal Antibody to Bone Morphogenetic Protein 15 (BMP15)

    Spezifität

    The antibody is a rabbit polyclonal antibody raised against BMP15. It has been selected for its ability to recognize BMP15 in immunohistochemical staining and western blotting.

    Aufreinigung

    Antigen-specific affinity chromatography followed by Protein A affinity chromatography

    Immunogen

    Recombinant Bone Morphogenetic Protein 15 (BMP15) corresdonding to Ser274~Thr390 with N-terminal His Tag

    Isotyp

    IgG
  • Applikationshinweise

    Western blotting: 0.01-2 μg/mL,Immunohistochemistry: 5-20 μg/mL,Immunocytochemistry: 5-20 μg/mL,Optimal working dilutions must be determined by end user.

    Kommentare

    The thermal stability is described by the loss rate. The loss rate was determined by accelerated thermal degradation test, that is, incubate the protein at 37°C for 48h, and no obvious degradation and precipitation were observed. The loss rate is less than 5% within the expiration date under appropriate storage condition.

    Beschränkungen

    Nur für Forschungszwecke einsetzbar
  • Format

    Liquid

    Konzentration

    500 μg/mL

    Buffer

    PBS, pH 7.4, containing 0.02 % Sodium azide, 50 % glycerol.

    Konservierungsmittel

    Sodium azide

    Vorsichtsmaßnahmen

    This product contains Sodium azide: a POISONOUS AND HAZARDOUS SUBSTANCE which should be handled by trained staff only.

    Lagerung

    4 °C,-20 °C

    Informationen zur Lagerung

    Store at 4°C for frequent use. Stored at -20°C in a manual defrost freezer for two year without detectable loss of activity. Avoid repeated freeze-thaw cycles.

    Haltbarkeit

    24 months
  • Target

    BMP15 (Bone Morphogenetic Protein 15 (BMP15))

    Andere Bezeichnung

    BMP15

    Hintergrund

    GDF9B, GDF9-B, ODG2, POF4, Growth/differentiation factor 9B

    UniProt

    Q9Z0L4
Sie sind hier:
Chat with us!