Telefon:
+49 (0)241 95 163 153
Fax:
+49 (0)241 95 163 155
E-Mail:
orders@antikoerper-online.de

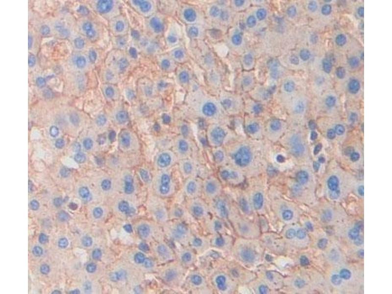
ITGA9 Antikörper (AA 741-965)

Der Kaninchen Polyklonal anti-ITGA9 Antikörper (ABIN7442402) detektiert spezifisch ITGA9 in WB, IHC, IP und ICC. Dieser Antikörper reagiert spezifisch mit Proben aus Human.
Produktnummer ABIN7442402
310,62 €
Zzgl. Versandkosten 20,00 € und MwSt
Lieferung nach: Deutschland
Lieferung in 11 bis 15 Werktagen

Kurzübersicht für ITGA9 Antikörper (AA 741-965) (ABIN7442402)

Target

Alle ITGA9 Antikörper anzeigen
ITGA9 (Integrin alpha-9 (ITGA9))

Reaktivität

  • 28
  • 16
  • 11
  • 2
  • 1
Human

Wirt

  • 21
  • 9
  • 1
  • 1
Kaninchen

Klonalität

  • 19
  • 13
Polyklonal

Konjugat

  • 23
  • 1
  • 1
  • 1
  • 1
  • 1
  • 1
  • 1
  • 1
  • 1
Dieser ITGA9 Antikörper ist unkonjugiert

Applikation

  • 26
  • 14
  • 9
  • 6
  • 6
  • 3
  • 2
  • 1
  • 1
  • 1
  • 1
Western Blotting (WB), Immunohistochemistry (IHC), Immunoprecipitation (IP), Immunocytochemistry (ICC)
  • Bindungsspezifität

    • 2
    • 2
    • 2
    • 2
    • 2
    • 1
    • 1
    • 1
    • 1
    • 1
    AA 741-965

    Verwendungszweck

    Polyclonal Antibody to Integrin Alpha 9 (ITGa9)

    Spezifität

    The antibody is a rabbit polyclonal antibody raised against ITGa9. It has been selected for its ability to recognize ITGa9 in immunohistochemical staining and western blotting.

    Aufreinigung

    Antigen-specific affinity chromatography followed by Protein A affinity chromatography

    Immunogen

    Recombinant Integrin Alpha 9 (ITGa9) corresdonding to Val741~Val965 with N-terminal His and GST Tag

    Isotyp

    IgG
  • Applikationshinweise

    Western blotting: 0.01-2 μg/mL,Immunohistochemistry: 5-20 μg/mL,Immunocytochemistry: 5-20 μg/mL,Optimal working dilutions must be determined by end user.

    Kommentare

    The thermal stability is described by the loss rate. The loss rate was determined by accelerated thermal degradation test, that is, incubate the protein at 37°C for 48h, and no obvious degradation and precipitation were observed. The loss rate is less than 5% within the expiration date under appropriate storage condition.

    Beschränkungen

    Nur für Forschungszwecke einsetzbar
  • Format

    Liquid

    Konzentration

    0.33 mg/mL

    Buffer

    PBS, pH 7.4, containing 0.02 % Sodium azide, 50 % glycerol.

    Konservierungsmittel

    Sodium azide

    Vorsichtsmaßnahmen

    This product contains Sodium azide: a POISONOUS AND HAZARDOUS SUBSTANCE which should be handled by trained staff only.

    Lagerung

    4 °C,-20 °C

    Informationen zur Lagerung

    Store at 4°C for frequent use. Stored at -20°C in a manual defrost freezer for two year without detectable loss of activity. Avoid repeated freeze-thaw cycles.

    Haltbarkeit

    24 months
  • Target

    ITGA9 (Integrin alpha-9 (ITGA9))

    Andere Bezeichnung

    ITGa9

    Hintergrund

    ITG-A9, Alpha-RLC, ITGA4L, RLC

    UniProt

    Q13797
Sie sind hier:
Chat with us!