Telefon:
+49 (0)241 95 163 153
Fax:
+49 (0)241 95 163 155
E-Mail:
orders@antikoerper-online.de

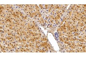
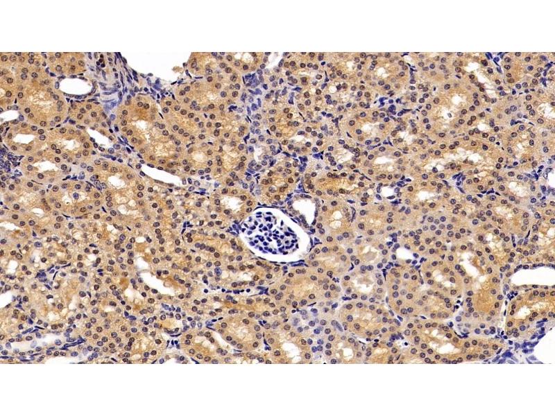
GSTa2 Antikörper (AA 1-222)

Dieser Kaninchen Polyklonal Antikörper detektiert spezifisch GSTa2 in WB, IHC, ICC und IP. Es zeigt Reaktivität gegenüber Proben von Human.
Produktnummer ABIN7434407
298,22 €
Zzgl. Versandkosten 20,00 € und MwSt
Lieferung nach: Deutschland
Lieferung in 11 bis 15 Werktagen

Kurzübersicht für GSTa2 Antikörper (AA 1-222) (ABIN7434407)

Target

Alle GSTa2 Antikörper anzeigen
GSTa2 (Glutathione S-Transferase alpha 2 (GSTa2))

Reaktivität

  • 34
  • 3
  • 1
Human

Wirt

  • 31
  • 4
Kaninchen

Klonalität

  • 33
  • 2
Polyklonal

Konjugat

  • 19
  • 4
  • 3
  • 1
  • 1
  • 1
  • 1
  • 1
  • 1
  • 1
  • 1
  • 1
Dieser GSTa2 Antikörper ist unkonjugiert

Applikation

  • 27
  • 18
  • 12
  • 5
  • 5
  • 4
  • 3
  • 2
  • 1
  • 1
Western Blotting (WB), Immunohistochemistry (IHC), Immunocytochemistry (ICC), Immunoprecipitation (IP)
  • Bindungsspezifität

    • 10
    • 7
    • 3
    • 2
    • 1
    • 1
    AA 1-222

    Verwendungszweck

    Polyclonal Antibody to Glutathione S Transferase Alpha 2 (GSTa2)

    Spezifität

    The antibody is a rabbit polyclonal antibody raised against GSTa2. It has been selected for its ability to recognize GSTa2 in immunohistochemical staining and western blotting.

    Aufreinigung

    Antigen-specific affinity chromatography followed by Protein A affinity chromatography

    Immunogen

    Recombinant Glutathione S Transferase Alpha 2 (GSTa2) corresdonding to Met1~Phe222 with N-terminal His Tag

    Isotyp

    IgG
  • Applikationshinweise

    Western blotting: 0.5-5 μg/mL,Immunohistochemistry: 5-20 μg/mL,Immunocytochemistry: 5-20 μg/mL,Optimal working dilutions must be determined by end user.

    Kommentare

    The thermal stability is described by the loss rate. The loss rate was determined by accelerated thermal degradation test, that is, incubate the protein at 37°C for 48h, and no obvious degradation and precipitation were observed. The loss rate is less than 5% within the expiration date under appropriate storage condition.

    Beschränkungen

    Nur für Forschungszwecke einsetzbar
  • Format

    Liquid

    Konzentration

    500 μg/mL

    Buffer

    0.01M PBS, pH 7.4, containing 0.05 % Proclin-300, 50 % glycerol.

    Konservierungsmittel

    ProClin

    Vorsichtsmaßnahmen

    This product contains ProClin: a POISONOUS AND HAZARDOUS SUBSTANCE which should be handled by trained staff only.

    Lagerung

    4 °C,-20 °C

    Informationen zur Lagerung

    Store at 4°C for frequent use. Stored at -20°C in a manual defrost freezer for two year without detectable loss of activity. Avoid repeated freeze-thaw cycles.

    Haltbarkeit

    24 months
  • Target

    GSTa2 (Glutathione S-Transferase alpha 2 (GSTa2))

    Andere Bezeichnung

    GSTa2

    Hintergrund

    GST-A2, GST2, GSTA2-2, GTA2, GTH2

    UniProt

    P09210
Sie sind hier:
Chat with us!