Telefon:
+49 (0)241 95 163 153
Fax:
+49 (0)241 95 163 155
E-Mail:
orders@antikoerper-online.de

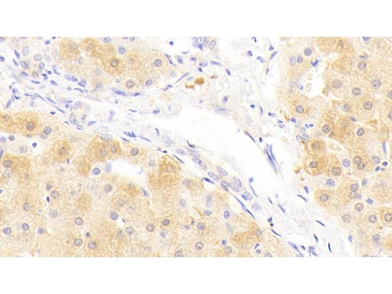
SAA2 Antikörper (AA 19-122)

Der Kaninchen Polyklonal anti-SAA2 Antikörper (ABIN7434077) detektiert spezifisch SAA2 in WB, IHC, IP und ICC. Dieser Antikörper reagiert spezifisch mit Proben aus Human.
Produktnummer ABIN7434077
298,22 €
Zzgl. Versandkosten 20,00 € und MwSt
Lieferung nach: Deutschland
Lieferung in 11 bis 15 Werktagen

Kurzübersicht für SAA2 Antikörper (AA 19-122) (ABIN7434077)

Target

Alle SAA2 Antikörper anzeigen
SAA2 (Serum Amyloid A2 (SAA2))

Reaktivität

  • 11
  • 3
  • 1
  • 1
  • 1
  • 1
  • 1
  • 1
  • 1
  • 1
  • 1
Human

Wirt

  • 10
  • 2
Kaninchen

Klonalität

  • 11
  • 1
Polyklonal

Konjugat

  • 9
  • 1
  • 1
  • 1
Dieser SAA2 Antikörper ist unkonjugiert

Applikation

  • 8
  • 5
  • 4
  • 2
  • 2
  • 1
  • 1
Western Blotting (WB), Immunohistochemistry (IHC), Immunoprecipitation (IP), Immunocytochemistry (ICC)
  • Bindungsspezifität

    • 4
    • 1
    • 1
    • 1
    • 1
    • 1
    • 1
    • 1
    AA 19-122

    Verwendungszweck

    Polyclonal Antibody to Serum Amyloid A2 (SAA2)

    Spezifität

    The antibody is a rabbit polyclonal antibody raised against SAA2. It has been selected for its ability to recognize SAA2 in immunohistochemical staining and western blotting.

    Kreuzreaktivität

    Maus

    Aufreinigung

    Antigen-specific affinity chromatography followed by Protein A affinity chromatography

    Immunogen

    Recombinant Serum Amyloid A2 (SAA2) corresdonding to Arg19~Tyr122 with N-terminal His Tag

    Isotyp

    IgG
  • Applikationshinweise

    Western blotting: 0.01-2 μg/mL,Immunohistochemistry: 5-20 μg/mL,Immunocytochemistry: 5-20 μg/mL,Optimal working dilutions must be determined by end user.

    Kommentare

    The thermal stability is described by the loss rate. The loss rate was determined by accelerated thermal degradation test, that is, incubate the protein at 37°C for 48h, and no obvious degradation and precipitation were observed. The loss rate is less than 5% within the expiration date under appropriate storage condition.

    Beschränkungen

    Nur für Forschungszwecke einsetzbar
  • Format

    Liquid

    Konzentration

    0.5 mg/mL

    Buffer

    0.01M PBS, pH 7.4, containing 0.05 % Proclin-300, 50 % glycerol.

    Konservierungsmittel

    ProClin

    Vorsichtsmaßnahmen

    This product contains ProClin: a POISONOUS AND HAZARDOUS SUBSTANCE which should be handled by trained staff only.

    Lagerung

    4 °C,-20 °C

    Informationen zur Lagerung

    Store at 4°C for frequent use. Stored at -20°C in a manual defrost freezer for two year without detectable loss of activity. Avoid repeated freeze-thaw cycles.

    Haltbarkeit

    24 months
  • Target

    SAA2 (Serum Amyloid A2 (SAA2))

    Andere Bezeichnung

    SAA2

    Hintergrund

    SA-A2

    UniProt

    P0DJI9

    Pathways

    Toll-Like Receptors Cascades
Sie sind hier:
Chat with us!