Telefon:
+49 (0)241 95 163 153
Fax:
+49 (0)241 95 163 155
E-Mail:
orders@antikoerper-online.de

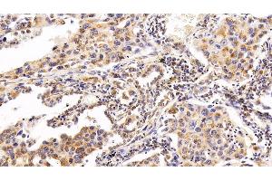
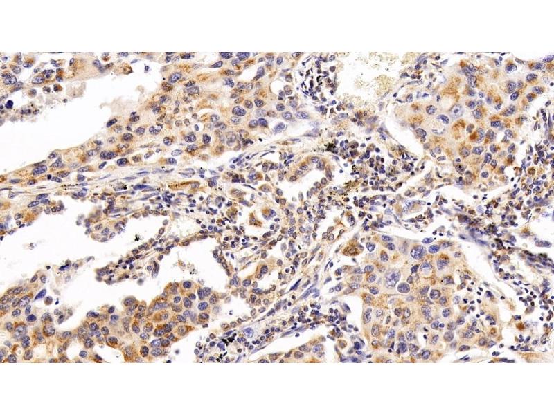
RNASE3 Antikörper (AA 30-154)

Der Kaninchen Polyklonal anti-RNASE3 Antikörper (ABIN7434023) detektiert spezifisch RNASE3 in WB, IHC, IP und ICC. Dieser Antikörper reagiert spezifisch mit Proben aus Human.
Produktnummer ABIN7434023
357,86 €
Zzgl. Versandkosten 20,00 € und MwSt
Lieferung nach: Deutschland
Lieferung in 11 bis 15 Werktagen

Kurzübersicht für RNASE3 Antikörper (AA 30-154) (ABIN7434023)

Target

Alle RNASE3 (ECP) Antikörper anzeigen
RNASE3 (ECP) (Eosinophil Cationic Protein (ECP))

Reaktivität

  • 56
  • 19
  • 17
Human

Wirt

  • 64
  • 13
  • 1
Kaninchen

Klonalität

  • 62
  • 16
Polyklonal

Konjugat

  • 31
  • 10
  • 5
  • 5
  • 2
  • 2
  • 2
  • 2
  • 2
  • 2
  • 2
  • 2
  • 1
  • 1
  • 1
  • 1
  • 1
  • 1
  • 1
  • 1
  • 1
  • 1
  • 1
Dieser RNASE3 Antikörper ist unkonjugiert

Applikation

  • 48
  • 23
  • 21
  • 21
  • 17
  • 12
  • 10
  • 10
  • 9
  • 4
  • 2
Western Blotting (WB), Immunohistochemistry (IHC), Immunoprecipitation (IP), Immunocytochemistry (ICC)
  • Bindungsspezifität

    • 15
    • 12
    • 7
    • 7
    • 5
    • 4
    • 2
    • 2
    • 1
    • 1
    AA 30-154

    Verwendungszweck

    Polyclonal Antibody to Ribonuclease A3 (RNASE3)

    Spezifität

    The antibody is a rabbit polyclonal antibody raised against RNASE3. It has been selected for its ability to recognize RNASE3 in immunohistochemical staining and western blotting.

    Aufreinigung

    Antigen-specific affinity chromatography followed by Protein A affinity chromatography

    Immunogen

    Recombinant Ribonuclease A3 (RNASE3) corresdonding to Pro30~Val154 with N-terminal His Tag

    Isotyp

    IgG
  • Applikationshinweise

    Western blotting: 0.5-2 μg/mL,Immunohistochemistry: 5-20 μg/mL,Immunocytochemistry: 5-20 μg/mL,Optimal working dilutions must be determined by end user.

    Kommentare

    The thermal stability is described by the loss rate. The loss rate was determined by accelerated thermal degradation test, that is, incubate the protein at 37°C for 48h, and no obvious degradation and precipitation were observed. The loss rate is less than 5% within the expiration date under appropriate storage condition.

    Beschränkungen

    Nur für Forschungszwecke einsetzbar
  • Format

    Liquid

    Konzentration

    0.67 mg/mL

    Buffer

    0.01M PBS, pH 7.4, containing 0.05 % Proclin-300, 50 % glycerol.

    Konservierungsmittel

    ProClin

    Vorsichtsmaßnahmen

    This product contains ProClin: a POISONOUS AND HAZARDOUS SUBSTANCE which should be handled by trained staff only.

    Lagerung

    4 °C,-20 °C

    Informationen zur Lagerung

    Store at 4°C for frequent use. Stored at -20°C in a manual defrost freezer for two year without detectable loss of activity. Avoid repeated freeze-thaw cycles.

    Haltbarkeit

    24 months
  • Target

    RNASE3 (ECP) (Eosinophil Cationic Protein (ECP))

    Andere Bezeichnung

    RNASE3

    Hintergrund

    Rnase-A3, RnaseA3, ECP, RNS3, Ribonuclease,RNase A Family 3, Eosinophil Cationic Protein

    UniProt

    P12724
Sie sind hier:
Chat with us!