Telefon:
+49 (0)241 95 163 153
Fax:
+49 (0)241 95 163 155
E-Mail:
orders@antikoerper-online.de

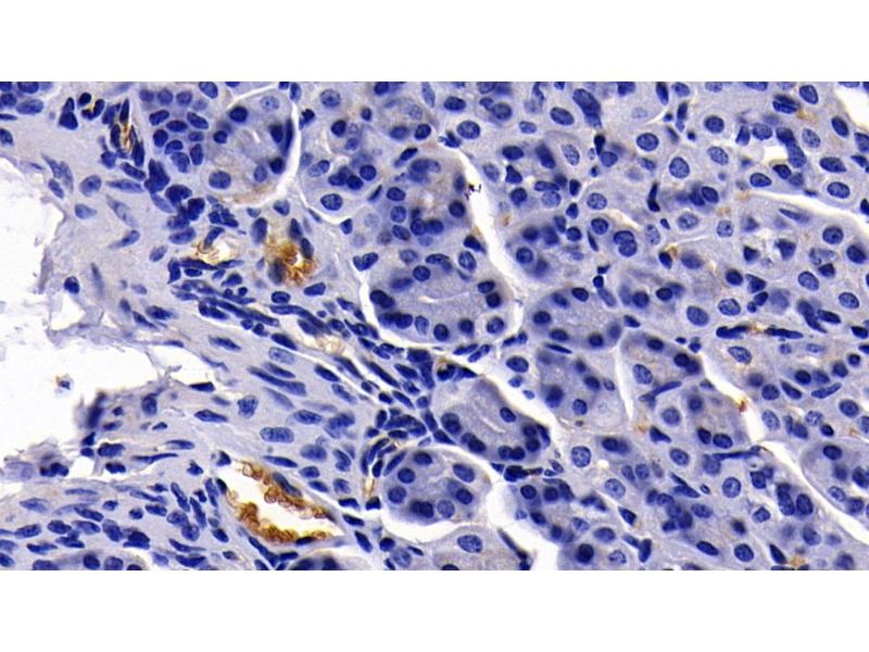
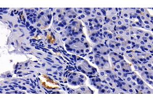
CD235a/GYPA Antikörper (AA 1-108)

Der Kaninchen Polyklonal anti-CD235a/GYPA Antikörper (ABIN7441901) detektiert spezifisch CD235a/GYPA in IHC, WB, IP und ICC. Dieser Antikörper reagiert spezifisch mit Proben aus Maus.
Produktnummer ABIN7441901
304,89 €
Zzgl. Versandkosten 20,00 € und MwSt
Lieferung nach: Deutschland
Lieferung in 11 bis 15 Werktagen

Kurzübersicht für CD235a/GYPA Antikörper (AA 1-108) (ABIN7441901)

Target

Alle CD235a/GYPA (GYPA) Antikörper anzeigen
CD235a/GYPA (GYPA) (Glycophorin A (GYPA))

Reaktivität

  • 181
  • 16
  • 9
  • 2
Maus

Wirt

  • 100
  • 86
  • 10
  • 1
Kaninchen

Klonalität

  • 129
  • 67
Polyklonal

Konjugat

  • 68
  • 20
  • 14
  • 11
  • 7
  • 5
  • 5
  • 5
  • 5
  • 5
  • 5
  • 4
  • 3
  • 2
  • 2
  • 2
  • 2
  • 2
  • 2
  • 2
  • 2
  • 2
  • 2
  • 2
  • 2
  • 2
  • 2
  • 2
  • 2
  • 1
  • 1
  • 1
  • 1
  • 1
  • 1
  • 1
  • 1
Dieser CD235a/GYPA Antikörper ist unkonjugiert

Applikation

  • 114
  • 84
  • 70
  • 37
  • 26
  • 24
  • 21
  • 18
  • 13
  • 13
  • 13
  • 5
  • 4
  • 4
  • 3
  • 3
  • 2
  • 2
  • 2
  • 1
  • 1
  • 1
Immunohistochemistry (IHC), Western Blotting (WB), Immunoprecipitation (IP), Immunocytochemistry (ICC)
  • Bindungsspezifität

    • 15
    • 8
    • 8
    • 4
    • 3
    • 2
    • 1
    • 1
    • 1
    • 1
    • 1
    AA 1-108

    Verwendungszweck

    Polyclonal Antibody to Glycophorin A (GYPA)

    Spezifität

    The antibody is a rabbit polyclonal antibody raised against GYPA. It has been selected for its ability to recognize GYPA in immunohistochemical staining and western blotting.

    Aufreinigung

    Antigen-specific affinity chromatography followed by Protein A affinity chromatography

    Immunogen

    Recombinant Glycophorin A (GYPA) corresdonding to Met1~Val108 with N-terminal His Tag

    Isotyp

    IgG
  • Applikationshinweise

    Western blotting: 0.01-2 μg/mL,Immunohistochemistry: 5-20 μg/mL,Immunocytochemistry: 5-20 μg/mL,Optimal working dilutions must be determined by end user.

    Kommentare

    The thermal stability is described by the loss rate. The loss rate was determined by accelerated thermal degradation test, that is, incubate the protein at 37°C for 48h, and no obvious degradation and precipitation were observed. The loss rate is less than 5% within the expiration date under appropriate storage condition.

    Beschränkungen

    Nur für Forschungszwecke einsetzbar
  • Format

    Liquid

    Konzentration

    0.5 mg/mL

    Buffer

    0.01M PBS, pH 7.4, containing 0.05 % Proclin-300, 50 % glycerol.

    Konservierungsmittel

    ProClin, Sodium azide

    Vorsichtsmaßnahmen

    This product contains ProClin and Sodium azide: POISONOUS AND HAZARDOUS SUBSTANCES which should be handled by trained staff only.

    Lagerung

    4 °C,-20 °C

    Informationen zur Lagerung

    Store at 4°C for frequent use. Stored at -20°C in a manual defrost freezer for two year without detectable loss of activity. Avoid repeated freeze-thaw cycles.

    Haltbarkeit

    24 months
  • Target

    CD235a/GYPA (GYPA) (Glycophorin A (GYPA))

    Andere Bezeichnung

    GYPA

    Hintergrund

    CD235a, MN, MNS, GPA, GPErik, GPSAT, PAS-2, GpMiIII, HGpMiIII, HGpMiV, HGpMiX, HGpMiXI, HGpSta, Sialoglycoprotein alpha, MN sialoglycoprotein

    UniProt

    P14220

    Pathways

    Maintenance of Protein Location
Sie sind hier:
Chat with us!