Telefon:
+49 (0)241 95 163 153
Fax:
+49 (0)241 95 163 155
E-Mail:
orders@antikoerper-online.de

Permeability Glycoprotein Antikörper (AA 999-1277)

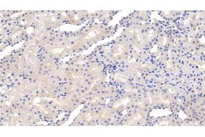
Der Kaninchen Polyklonal anti-Permeability Glycoprotein Antikörper wird verwendet zum Nachweis von Permeability Glycoprotein in Proben von Ratte. Er wurde validiert für IHC, WB, ICC und IP.
Produktnummer ABIN7445594
303,94 €
Zzgl. Versandkosten 20,00 € und MwSt
Lieferung nach: Deutschland
Lieferung in 11 bis 15 Werktagen

Kurzübersicht für Permeability Glycoprotein Antikörper (AA 999-1277) (ABIN7445594)

Target

Alle Permeability Glycoprotein Antikörper anzeigen
Permeability Glycoprotein

Reaktivität

  • 5
  • 4
  • 1
Ratte

Wirt

  • 8
  • 2
Kaninchen

Klonalität

  • 8
  • 2
Polyklonal

Konjugat

  • 6
  • 2
  • 2
Dieser Permeability Glycoprotein Antikörper ist unkonjugiert

Applikation

  • 10
  • 10
  • 7
  • 6
  • 3
  • 2
Immunohistochemistry (IHC), Western Blotting (WB), Immunocytochemistry (ICC), Immunoprecipitation (IP)
  • Bindungsspezifität

    • 1
    • 1
    • 1
    AA 999-1277

    Verwendungszweck

    Polyclonal Antibody to Permeability Glycoprotein (Pgp)

    Spezifität

    The antibody is a rabbit polyclonal antibody raised against Pgp. It has been selected for its ability to recognize Pgp in immunohistochemical staining and western blotting.

    Kreuzreaktivität

    Maus

    Aufreinigung

    Antigen-specific affinity chromatography followed by Protein A affinity chromatography

    Immunogen

    Recombinant Permeability Glycoprotein (Pgp) corresdonding to Ala999~Ser1277 with N-terminal His Tag

    Isotyp

    IgG
  • Applikationshinweise

    Western blotting: 0.01-2 μg/mL,Immunohistochemistry: 5-20 μg/mL,Immunocytochemistry: 5-20 μg/mL,Optimal working dilutions must be determined by end user.

    Kommentare

    The thermal stability is described by the loss rate. The loss rate was determined by accelerated thermal degradation test, that is, incubate the protein at 37°C for 48h, and no obvious degradation and precipitation were observed. The loss rate is less than 5% within the expiration date under appropriate storage condition.

    Beschränkungen

    Nur für Forschungszwecke einsetzbar
  • Format

    Liquid

    Konzentration

    0.5 mg/mL

    Buffer

    PBS, pH 7.4, containing 0.02 % Sodium azide, 50 % glycerol.

    Konservierungsmittel

    Sodium azide

    Vorsichtsmaßnahmen

    This product contains Sodium azide: a POISONOUS AND HAZARDOUS SUBSTANCE which should be handled by trained staff only.

    Lagerung

    4 °C,-20 °C

    Informationen zur Lagerung

    Store at 4°C for frequent use. Stored at -20°C in a manual defrost freezer for two year without detectable loss of activity. Avoid repeated freeze-thaw cycles.

    Haltbarkeit

    24 months
  • Target

    Permeability Glycoprotein

    Hintergrund

    CD243, ABCB1, ABC20, CLCS, GP170, MDR1, PGY1, P-Glycoprotein, Multidrug resistance protein 1, ATP-Binding Cassette,Sub-Family B(MDR/TAP),Member 1, Colchicin Sensitivity

    UniProt

    P43245
Sie sind hier:
Chat with us!