Telefon:
+49 (0)241 95 163 153
Fax:
+49 (0)241 95 163 155
E-Mail:
orders@antikoerper-online.de

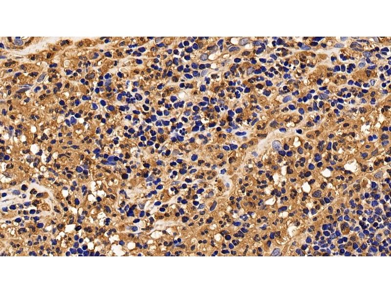
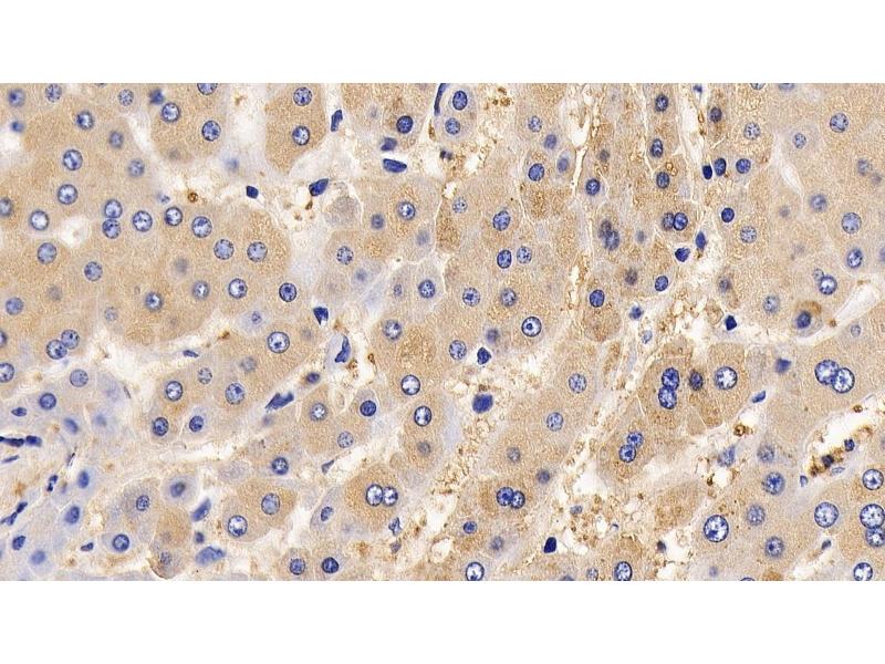
IL13RA2 Antikörper (AA 238-334)

Der Kaninchen Polyklonal anti-IL13RA2 Antikörper wird verwendet zum Nachweis von IL13RA2 in Proben von Human. Er wurde validiert für WB und IHC.
Produktnummer ABIN7437515
298,22 €
Zzgl. Versandkosten 20,00 € und MwSt
Lieferung nach: Deutschland
Lieferung in 11 bis 15 Werktagen

Kurzübersicht für IL13RA2 Antikörper (AA 238-334) (ABIN7437515)

Target

Alle IL13RA2 Antikörper anzeigen
IL13RA2 (Interleukin 13 Receptor, alpha 2 (IL13RA2))

Reaktivität

  • 76
  • 30
  • 12
  • 7
  • 4
  • 2
  • 1
  • 1
  • 1
  • 1
Human

Wirt

  • 58
  • 18
  • 3
Kaninchen

Klonalität

  • 63
  • 16
Polyklonal

Konjugat

  • 38
  • 6
  • 4
  • 4
  • 3
  • 3
  • 1
  • 1
  • 1
  • 1
  • 1
  • 1
  • 1
  • 1
  • 1
  • 1
  • 1
  • 1
  • 1
  • 1
  • 1
  • 1
  • 1
  • 1
  • 1
  • 1
  • 1
Dieser IL13RA2 Antikörper ist unkonjugiert

Applikation

  • 57
  • 29
  • 21
  • 15
  • 8
  • 4
  • 4
  • 3
  • 2
  • 1
  • 1
  • 1
Western Blotting (WB), Immunohistochemistry (IHC)
  • Bindungsspezifität

    • 16
    • 4
    • 4
    • 3
    • 3
    • 3
    • 2
    • 2
    • 2
    • 1
    • 1
    • 1
    • 1
    • 1
    • 1
    • 1
    • 1
    • 1
    • 1
    • 1
    • 1
    • 1
    • 1
    AA 238-334

    Verwendungszweck

    Polyclonal Antibody to Interleukin 13 Receptor Alpha 2 (IL13Ra2)

    Spezifität

    The antibody is a rabbit polyclonal antibody raised against IL13Ra2. It has been selected for its ability to recognize IL13Ra2 in immunohistochemical staining and western blotting.

    Aufreinigung

    Antigen-specific affinity chromatography followed by Protein A affinity chromatography

    Immunogen

    Recombinant Interleukin 13 Receptor Alpha 2 (IL13Ra2) corresdonding to Pro238~Glu334 with N-terminal His Tag

    Isotyp

    IgG
  • Applikationshinweise

    Western blotting: 0.01-2 μg/mL,Immunohistochemistry: 5-20 μg/mL,Optimal working dilutions must be determined by end user.

    Kommentare

    The thermal stability is described by the loss rate. The loss rate was determined by accelerated thermal degradation test, that is, incubate the protein at 37°C for 48h, and no obvious degradation and precipitation were observed. The loss rate is less than 5% within the expiration date under appropriate storage condition.

    Beschränkungen

    Nur für Forschungszwecke einsetzbar
  • Format

    Liquid

    Konzentration

    0.5 mg/mL

    Buffer

    0.01M PBS, pH 7.4, containing 0.05 % Proclin-300, 50 % glycerol.

    Konservierungsmittel

    ProClin

    Vorsichtsmaßnahmen

    This product contains ProClin: a POISONOUS AND HAZARDOUS SUBSTANCE which should be handled by trained staff only.

    Lagerung

    4 °C,-20 °C

    Informationen zur Lagerung

    Store at 4°C for frequent use. Stored at -20°C in a manual defrost freezer for two year without detectable loss of activity. Avoid repeated freeze-thaw cycles.

    Haltbarkeit

    24 months
  • Target

    IL13RA2 (Interleukin 13 Receptor, alpha 2 (IL13RA2))

    Andere Bezeichnung

    IL13Ra2

    Hintergrund

    CD213A2, CD213-A2, IL13R-A2, IL13-RA2, IL13-R, IL13-BP

    UniProt

    Q14627
Sie sind hier:
Chat with us!