Telefon:
+49 (0)241 95 163 153
Fax:
+49 (0)241 95 163 155
E-Mail:
orders@antikoerper-online.de

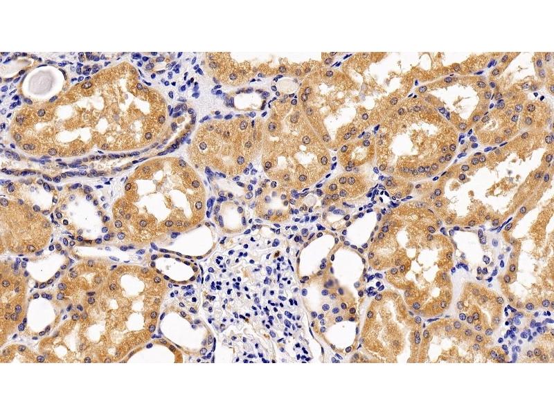
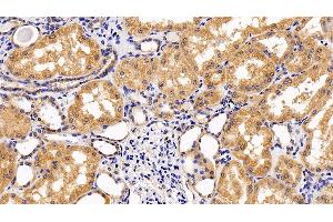
IL10RB Antikörper (AA 87-243)

Der Kaninchen Polyklonal anti-IL10RB Antikörper wird verwendet zum Nachweis von IL10RB in Proben von Human. Er wurde validiert für WB, IHC, IP und ICC.
Produktnummer ABIN7437275
298,22 €
Zzgl. Versandkosten 20,00 € und MwSt
Lieferung nach: Deutschland
Lieferung in 11 bis 15 Werktagen

Kurzübersicht für IL10RB Antikörper (AA 87-243) (ABIN7437275)

Target

Alle IL10RB Antikörper anzeigen
IL10RB (Interleukin 10 Receptor, beta (IL10RB))

Reaktivität

  • 64
  • 30
  • 23
  • 3
  • 3
  • 3
Human

Wirt

  • 48
  • 22
  • 2
  • 1
Kaninchen

Klonalität

  • 52
  • 21
Polyklonal

Konjugat

  • 27
  • 8
  • 6
  • 4
  • 3
  • 3
  • 2
  • 1
  • 1
  • 1
  • 1
  • 1
  • 1
  • 1
  • 1
  • 1
  • 1
  • 1
  • 1
  • 1
  • 1
  • 1
  • 1
  • 1
  • 1
  • 1
  • 1
Dieser IL10RB Antikörper ist unkonjugiert

Applikation

  • 47
  • 23
  • 18
  • 13
  • 13
  • 12
  • 7
  • 6
  • 5
  • 3
  • 3
  • 2
  • 1
  • 1
Western Blotting (WB), Immunohistochemistry (IHC), Immunoprecipitation (IP), Immunocytochemistry (ICC)
  • Bindungsspezifität

    • 16
    • 9
    • 5
    • 4
    • 4
    • 3
    • 2
    • 1
    • 1
    • 1
    AA 87-243

    Verwendungszweck

    Polyclonal Antibody to Interleukin 10 Receptor Beta (IL10Rb)

    Spezifität

    The antibody is a rabbit polyclonal antibody raised against IL10Rb. It has been selected for its ability to recognize IL10Rb in immunohistochemical staining and western blotting.

    Kreuzreaktivität

    Schwein

    Aufreinigung

    Antigen-specific affinity chromatography followed by Protein A affinity chromatography

    Immunogen

    Recombinant Interleukin 10 Receptor Beta (IL10Rb) corresdonding to Leu87~Ala243 (Accession # Q08334)

    Isotyp

    IgG
  • Applikationshinweise

    Western blotting: 0.5-2 μg/mL,Immunohistochemistry: 5-20 μg/mL,Immunocytochemistry: 5-20 μg/mL,Optimal working dilutions must be determined by end user.

    Kommentare

    The thermal stability is described by the loss rate. The loss rate was determined by accelerated thermal degradation test, that is, incubate the protein at 37°C for 48h, and no obvious degradation and precipitation were observed. The loss rate is less than 5% within the expiration date under appropriate storage condition.

    Beschränkungen

    Nur für Forschungszwecke einsetzbar
  • Format

    Liquid

    Konzentration

    500 μg/mL

    Buffer

    0.01M PBS, pH 7.4, containing 0.05 % Proclin-300, 50 % glycerol.

    Konservierungsmittel

    ProClin

    Vorsichtsmaßnahmen

    This product contains ProClin: a POISONOUS AND HAZARDOUS SUBSTANCE which should be handled by trained staff only.

    Lagerung

    4 °C,-20 °C

    Informationen zur Lagerung

    Store at 4°C for frequent use. Stored at -20°C in a manual defrost freezer for two year without detectable loss of activity. Avoid repeated freeze-thaw cycles.

    Haltbarkeit

    24 months
  • Target

    IL10RB (Interleukin 10 Receptor, beta (IL10RB))

    Andere Bezeichnung

    IL10Rb

    Hintergrund

    CDW210b, CD210-B, IL10R-B, IL10-RB, CRF2-4, CRFB4, IL-10R2, Interleukin-10 receptor subunit 2

    UniProt

    Q08334
Sie sind hier:
Chat with us!